앞니임플란트 재수술 가능할까요? 앞니임플란트 재수술 전문치과
임플란트 재수술에 대해 문의하는 분들이 의외로 많습니다
앞니임플란트 , 어금니 임플란트 어느 한 부분에 국한되지 않고 암플란트 재수술이 필요한 분들이 많습니다
더구나 앞니임플란트의 경우 빠진 앞니 즉 상실한 앞니를 제작하는데, 이때 원래의 치아가 공간이나 치아모양이 바르지 않은 상태인데도 이를 보완하여 앞니를 다시 만들지 않고 다시 그 모양 그대로 앞닐임플란트와 앞니 보철을 만드는 경우가 더러 있습니다
그럼 아래의 앞니임플란트 재수술의 사례를 한번 보고 설명하도록 하겠습니다
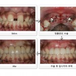
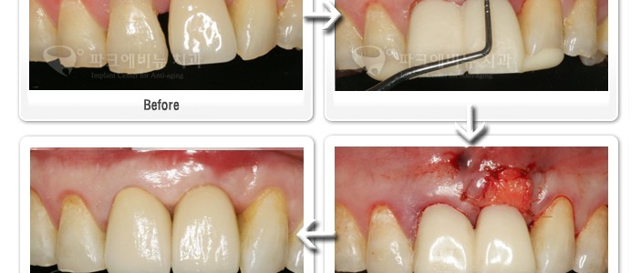
< 앞니임플란트 재수술 사례 >
여러분은 제일 처음 사진을 보고 어떤것을 느끼셨나요?
1) 제일 먼저 보이는 사진에 앞니 2개중 오른쪽 앞니 즉 대문니가 옆의 치아에 비해 유난히 잇몸위쪽으로 치아가 만들어져 치아가 굉장히 길게 만들어진 모습을 보실수 있습니다 물론 정상적인 치아의 모양은 아닙니다 이 긴 앞니가 앞니임플란트 수술후 임플란트 보철을 만든 치아입니다 한눈에 봐도 참 이상해 보입니
2) 파크에비뉴치과에 오신 환자분의 이상한 앞니를 제거하고 임플란트 역시 제거하여 임시치아를 해 놓은 상태입니다 여기서 원래 길어진 앞니의 빈 공간만큼은 잇몸뼈이식 즉 치조골이식술과 잇몸이식을 통해 빈 공간을 메워줄 겁니다
3) 비어있는 잇몸의 빈 공간을 치조골 이식 즉 임플란트 뼈이식으로 빈공간을 채운 모습이 보이시지요? 이제 이식한 치조골이 제대로 정착되도록 기다리는 기간이 필요하며 이때 정기적으로 치조골이식을 한 부분과 앞니 임플란트 수술한 부분을 체크해야합니다
4) 이식한 치조골이 이제 원래 잇몸인것 처럼 착상되었으며 앞니임플란트도 최종보철물이 완성되어 이제 제대로 된 앞니임플란트가 완성되었습니다
여려분이 보시기에 앞니임플란트라는 것이 느껴지지 않을 정도로 자연스럽게 보이지 않으시나요? 앞니임플란트란 바로 이런 것입니다. 앞니임플란트는 분명히 전문가가 따로 있습니다 임플란트를 전공한 파크에비뉴치과 박동원 원장님께서는 앞니임플란트에 특히나 많은 경험과 노하우를 가지고 계십니다. 다른 치과에서 실패한 임플란트재수술…. 이제 더 이상 망설이지마시고 파크에비뉴치과의 문을 똑 똑 똑 두드려주십시오
두드리면 열릴것이다 바로 이런 경우에도 해당되는 것이 아닐까요? 임플란트 재수술 망설이지 마십시요~~
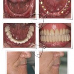
< 전체임플란트 재수술 -전악임플란트 재수술 치료 전후 >
여러분~~~ 실패한 임플란트 수술의 다른 사례를 한번 더 보실까요?
보이는 사진의 왼쪽을 다른 병원에서 임플란트 수술후 완성한 치아의 사진이며, 보이는 오른쪽 사진은 파크에비뉴치과에서 임플란트 재수술을 통해 정상적인 치아의 배열을 한 상태입니다
치과에 대해서 잘 모르는 분들이 보더라고 무엇이 잘못되었는지 느낄수 있으시지요?
어떤 이유로 인해 치아를 상실하게 된 경우 임플란트 전문의라면 치아의 원래 정상적인 치아배열을 생각하고, 정상적인 치아상태로 임플란트 식립을 하고 임플란트 보철을 합니다
하지만 임플란트 전문의가 아닌 치과의사에게서는 전혀 다른 모습을 볼수 있습니다
제일 위의 앞니임플란트 케이스 처럼 이 경우도 역시 빠지고 상실된 치아대로 최종 치아를 만들어 놓았습니다 그렇게 하다보니 치아의 배열이 점점 위로 위로 가는 모습이지요 이 환자분은 이렇게 하고 어떻게 일상생활을 했는지 그저 안타까울뿐입니다
다행히 파크에비뉴치과의 문을 두드려 주셨고, 이에 파크에비뉴치과 박동원임플란트 전문 원장님께서 정말 신의 솜씨가 아닐까 싶을정도로 자연스럽고 정상적인 치아배열을 만들어주셨습니다. 이것이 바로 절대 따라 갈수 없는 임플란트전문의의 차이입니다
<임플란트전문 파크에비뉴치과 박동원 원장님 이력>
임플란트 전문치과 파크에비뉴치과는
2호선 역삼역 7번출구, 9호선 언주역 6번 출구에 있습니다
임플란트 재수술, 앞니임플란트 치료는 파크에비뉴치과와 상의해 주십시요
문의전화 566-6628
Related Posts
- 60
- 47
- 40
- 35
- 31








