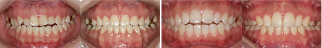
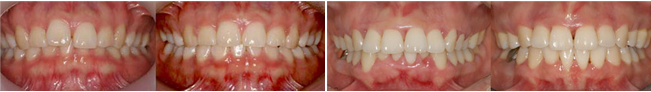
치아교정이 필요한 경우
» 돌출입 치아교정
입이 과도하게 튀어나온 경우를 말합니다. 돌출입을 가진 많은 사람들이 부자연스러운 옆모습 때문에 자신감을 잃고 일상생활에 콤플렉스를 갖게 됩니다. 돌출입은 치아가 돌출되거나 잇몸이 돌출된 경우 또는 위턱이 돌출되거나 아래턱이 뒤로 후퇴해 있는 경우 등 다양한 유형이 있습니다.

» 덧니 치아교정
치아가 배열될 공간이 부족해 치열이 고르지 못하고 울퉁불퉁한 경우, 특히 송곳니가 많이 튀어나온 경우를 말합니다. 가지런하지 않은 치아 때문에 칫솔질이 잘 되지 않아 치주 질환이나 충치가 발생할 가능성도 높습니다. 윗니와 아랫니의 맞물림이 부정확하여 기능적으로도 문제가 생길 수 있으므로 가지런하고 정상적으로 치아가 맞물리도록 만들어 주는 교정치료가 필요합니다.

» 벌어진 치아교정
치아 사이에 틈이 있는 경우를 말합니다. 턱뼈의 크기에 비해 치아의 크기가 작은 경우나 치아가 상실 되었거나 나이가 들면서 잇몸이 나빠지면서 치아를 자기 위치에 붙잡아 주지 못하여 발생합니다.

» 개방교합 치아교정
이를 완전히 다물어도 앞니가 서로 맞물리지 않는 경우를 말합니다. 발음이 부정확하거나 앞니로 음식을 잘라 먹을 수 없는 등 실생활에 많은 불편을 초래하게 됩니다. 골격적 원인에 의한 개방교합인 경우에는 얼굴이 길고 한두개의 어금니만 맞물리는 경우가 많아 음식물을 씹는 기능이 현저히 떨어지게 됩니다. 습관이나 치성 원인에 의한 개방교합인 경우에는 어금니는 잘 맞물리지만 앞니는 위아래로 벌어져 있는 경우가 많습니다.

» 과개교합 치아교정
위 앞니가 아래 앞니를 과도하게 덮어서 치아를 다물었을 때 아래 앞니가 거의 보이지 않는 경우를 말합니다. 기능 시에 치아의 적절한 관계가 이루어지지 못해 기능적 문제 등을 야기 하는 경우가 많습니다.
» 주걱턱 치아교정
위아래 앞니가 반대로 맞물리는 경우를 반대교홥이라고 하고 , 아래턱의 성장이 과도하거나 위턱의 성장이 상대적으로 부족해서 아래턱이 튀어나온 경우를 주걱턱이라고 말합니다. 외관상 강한 인상을 주기 때문에 환자는 더욱 삼ㄶ은 스트레스를 받게 됩니다. 주걱턱은 예방과 조기치료가 중요하며, 심한 주걱턱의 경우에는 성장이 끝난 후 턱교정 수술을 동반한 교정치료를 해야 합니다.

» 무턱 치아교정
아래턱이 짧거나 뒤로 밀려 있어서 그 길이가 충분하지 못하여 얼굴의 아래쪽이 꺼져 보이는 경우를 말합니다. 턱 끝이 충분하지 못하게 되면 목과 얼굴의 경계가 불분명해지고 상대적으로 입이 돌출된 것처럼 보이게 됩니다.
