앞니 임플란트 ! 저렴하다고 아무데서나 하면 안되죠!!
앞니 임플란트는 기능뿐 아니라 심미적으로도 굉장히 중요한 부분입니다.
이러한 부분을 충분히 충족시켜 주지 못해 앞니 임플란트 후에 만족하지 못하시는 분들이 생각보다 많이 있습니다.
그래서 앞니 임플란트를 할 경우에는 이러한 것들을 꼼꼼이 생각해보고 따져야 후회없는 선택을 하실 수 있습니다.
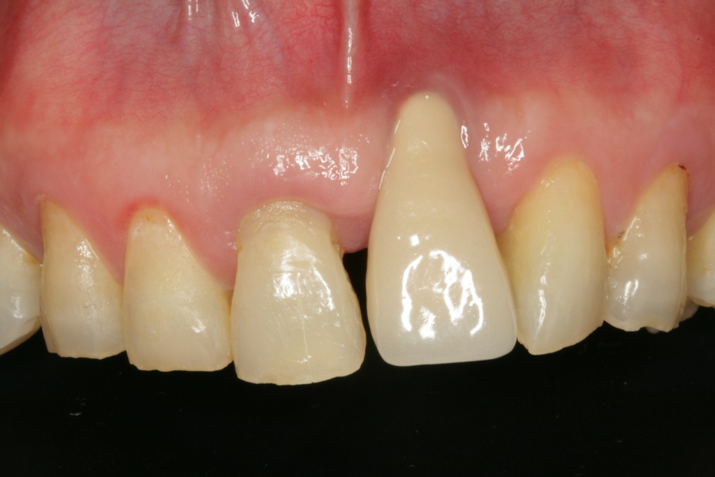
아래 사진을 보시면 이 환자분은 타 치과에서 앞니 임플란트 식립 후 보철까지 다 완성을 한 상태에서 파크에비뉴 치과에 내원하셨습니다. 사진을 보시면 아시겠지만 앞니 임플란트 식립 후 잇몸이 너무 많이 내려가서 완성된 보철물이 보기에도 심미적이지 못한 것을 알 수 있습니다.
이 부분을 회복하고자 파크에비뉴 치과에 내원하셨습니다.

앞니 임플란트 회복을 위한 두가지 방법
첫째, 잇몸이식 만을 통하여 퇴축된 잇몸을 살리고 보철을 다시 제작하는 방법
둘째, 앞니 임플란트 전체를 제거하고 다시 식립하는 방법
앞니 임플란트 회복을 위해서 기존 앞니 임플란트가 식립된 각도나 위치에 따라 결정하게 되며, 위 환자분은 임플란트 전체를 제거하고 재식립하는 방법으로 하게 되었습니다.
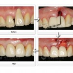
위 사진은 기존 앞니 임플란트를 제거하고, 잇몸이식 후 임시치아까지 완성된 모습입니다.
잇몸이식과 임시치아 만으로도 기존 치아보다 훨씬 더 심미적인걸 보실 수 있습니다.
이렇게 앞니 임플란트는 심미적인 부분이 크게 좌우하므로, 앞니 임플란트 경험이 많은 원장님이 아니라면 임플란트 후 만족도가 크게 떨어질 수 있고, 재식립을 해야하는 경우가 생길 수도 있습니다.
파크에비뉴 치과 박동원 원장님 께서는 뉴욕대학교(NYU)에서 임플란트와 보철을 복수전공 하였습니다. 앞니는 임플란트를 식립 하는 것도 중요하고, 보철 작업도 굉장히 중요하기 때문에 그 두 가지를 아울러 볼 수 있는 실력 있는 원장님께 시술받기를 권유 드리며, 앞니 임플란트 부분에 있어서도 박동원 원장님께서는 최고의 실력을 갖고 있음을 확신합니다.

잘못 식립된 임플란트를 제거하고 회복하기까지 결코 짧지 않은 7개월이라는 시간이 소요되었습니다. 앞니 임플란트 재수술 이라는게 결코 쉬운 치료는 아닙니다. 정확한 진단과 풍부한 임상경험, 원장님의 실력이 뒷받침이 되어주어야 만족할만한 결과를 낼 수 있습니다.
Related Posts
- 61안녕하세요. 선정릉역 앞니 임플란트도 잘하는 치과 파크에비뉴 치과입니다. 임플란트란? 임플란트란 치아의 결손이 있는 분위 혹은 발치 부위에 수술을 통해 식립하는 인공치아를 말합니다. 임플란트는 어떤 상황에서 필요하죠? 치아가 소실되거나 발치를 해야 하는 경우 틀니나 브릿지 사용이 불편한 경우 선천적으로 치아가 부족한 경우 발치가 필요한 경우 등의 경우에 임플란트가 필요합니다. 발치 후…
- 58안녕하세요! 고난도 임플란트도 잘하는 파크에비뉴 치과입니다. 모두들 아시겠지만, 저희 파크에비뉴 치과는 보건복지부에서 외국인 환자 유치의료기관 등록을 받았습니다. 영어 진료는 물론 중국어, 몽골어 진료도 상주하는 코디네이터 분들이 계셔 원활하게 받으실 수 있습니다. :^) 올해 초 저희 병원을 내원해주신 말레이시아 환자분께서 앞니 크라운 후기를 작성해주셨는데요. ▼▼▼▼▼▼▼▼▼▼▼▼▼▼▼▼▼▼▼ https://blog.naver.com/nyudent/221286032691 발치 부위 회복기간이 지난 후…
- 49임플란트 재건치료 잘하는 치과 언주역 파크에비뉴 치과입니다 치통으로 치과를 찾은 경험 다들 한번쯤은 있으실 것 같네요 오늘은 충치의 단계에 대해 알아보도록 하겠습니다! 충치란? 충치는 충치균에 의해 치아속의 칼슘성분이 빠져나가는 것을 말하며 의학용어는 치아우식증이지만 흔히 충치라고 부릅니다. 충치균은 치아표면에 남아있는 설탕과 탄수화물을 먹고 사는데 이때 배설물로 나오는 산이 치아속의 칼슘을 녹히는 성질을 가지고…
- 48안녕하세요. 앞니 임플란트 재수술도 잘하는 파크에비뉴 치과입니다. 요즘 황사가 잔뜩이더니 오늘은 비가 와 날씨가 선선하네요! 오늘은 앞니 임플란트 관련 포스팅합니다 :) 앞니는 참 까다롭습니다. 앞니 임플란트를 고려하시는 분들은 아시겠지만, 앞니 부위의 뼈는 다른 어금니 부위에 비하여 얇은 편입니다. 환자에 따라서 뼈의 각도의 차이가 나기 때문에 임플란트 식립이 참 까다롭습니다. 또한 입술은 매일…
- 47

