밖으로 보이는 교정장치 때문에 치료를 망설이셨습니까? 파크에비뉴는 보이지 않는 교정의 선두주자로 보다 더 심미적인 치아 교정치료를 약속합니다.
보이지 않는 치아교정

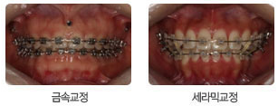
금속교정 & 세라믹교정
금속 교정장치는 치료받는 동안 밖으로 보이기 때문에 교정치료를 망설이게 하는 첫번째 이유입니다.
레진, 세라믹 등으로 만든 조금 더 심미적인 교정장치가 사용되고 있지만, 여전히 밖으로 교정장치가 보이는 문제가 있습니다.
설측교정 & 인코그니토

치아의 안쪽면에 교정장치를 붙여서 치료하는 설측교정, 최첨단 3차원 컴퓨터 소프트웨어를 이용해 금으로 맞춤제작한 설측장치인 인코그니토는 밖으로 치아교정장치가 보이지 않습니다.
설측교정과 인코그니토는 밖으로 교정장치가 보이지 않는 장점이 있지만 제작과정이 정밀하고 복잡하기 때문에 정확한 진단과 치료계획이 요구되며, 환자 개개인에 맞게 설계된 정밀한 장치의 제작과 정교한 시술이 필요하므로 고도의 훈련 및 임상경험이 필수적입니다.
따라서 설측교정, 인코그니토 등 보이지 않는 치아 교정치료는 반드시 고도의 훈련과 임상경험을 가진 교정의사에게 치료를 받아야 좋은 결과를 얻을 수 있습니다.
한국, 유럽, 세계 설측교정학회 정회원, 인코그니토 공인 인증의
파크에비뉴치과 허정민 원장은 인코그니토 공인 인증의며, 대한설측교정학회 창립 회원으로 국내에 10여명밖에 없는 유럽설측교정학회와 세계설측교정학회의 정회원입니다.
그리고, 대한설측교정학회에서 주최하는 교정의사를 대상으로 하는 설측교정 교육 프로그램인 설측교정연수회의 강사로 많은 교정의사들을 교육하고 있습니다. 2011년 4월에는 스페인 바르셀로나의 International University of Catalonia에서 주최하는 설측교정연수회의 메인 연자로 초청되어 스페인 교정의사를 대상으로 4시간 동안 설측교정 강의를 하였습니다.
설측교정, 인코그니토는 고도의 훈련과 임상경험을 가진 교정의사에게 치료를 받아야 좋은 결과를 얻을 수 있습니다.
Related Posts
- 36안녕하세요. 파크에비뉴 치과입니다. 어제 우연히 인터넷으로 치아 크랙에 대한 기사를 읽었어요! 잘 관리해놓은 치아에 균열이 간다면, 정말 속상하겠죠 관련해서 여러분께 정보를 전달하고자 포스팅합니다 :) 치아 크랙(Crack)이란? 치아 크랙이란 '치아균열 증후군'이라고도 불리며, 치아에 금이 간 경우를 말합니다 치아 크랙의 증상 음식을 씹을 때 시큰거리면서 통증이 오고, 차가운 것에 민감하다고 느껴지면 치아…