전체임플란트, 무치악임플란트 전문치과
전체임플란트, 무치악임플란트, 다수치 임플란트에 대해 알아보겠습니다
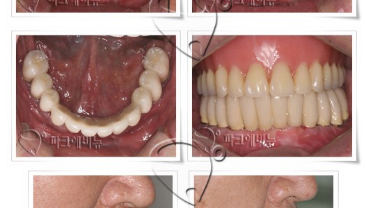
전체임플란트에 대해 말씀드릴때 제일 중요한 것은 치아를 몇개를 만들고 몇개의 임플란트 수술을 하는가 입니다
위 아래 각각 14개씩 총 28개의 치아가 정상적인 치아의 갯수입니다
하지만 어금니중 큰 어금니 하나는 없어도 저작하는데 크게 방해되지 않으므로 12개의 치아를 만드는 것이 일반적이며, 이 12개의 치아도 12개 모두 임플란를 하기 보다는 6~8개의 임플란트 수술만 하고 나머지는 가치를 만들어 총 12개의 치아를 완성하게 됩니다
꼇다뺏다하는 장치가 아닌 구강내에 고정되어있는 고정성 임플란트 보철이므로 편하게 사용할수 있습니다

전체임플란트(무치악임플란트)의 경우 기능적인 부분의 중요도가 필수적입니다
전체임플란트, 무치악임플란트는 전체 치아를 만드는 작업이므로, 전체적인 치아의 배열이나 균형을 맟추기가 까다롭습니다. 따라서 임플란트 시술 경험이 많은 전체 임플란트 전문 원장님이 아니라면, 전체임플란트 수술 이후 치아의 저작 기능이 예상보다 저하되는 경우가 많습니다
파크에비뉴치과는 임플란트 수술전문으로 전악 임플란트 무치악임플란트에 대해 최고의 시술을 해드립니다
전체임플란트의 경우 수술 당일 대부분 수술과 동시에 임시치아를 제작해 드립니다
따라서 이런 경우 빠른 임플란트 라고도 수술 할수 있습니다
<파크에비뉴치과 박동원 대표 원장님 이력 >

전체임플란트, 무치악임플란트 상담은 파크에비뉴치과와 상의해주십시요
파크 에비뉴치과 02) 566-6628
Related Posts
- 40
- 40이 환자분은 위아래 틀니를 사용하시는 분인데 틀니를 거는 지대치인 앞니가 많이 흔들린다며 내원하셨습니다. 구강 내를 살펴보니 구강위생이 좋지 않아 치태,치석도 많고 잇몸이 많이 부어 있었습니다. 파노라마 방사선 사진도 살펴보면 치아를 잡는 치조골이 치아 뿌리 끝까지 많이 녹았음 확인할 수 있었습니다. 따라서 치아를 발치하고 전악 임플란트를 수복하기로 결정 하였습니다. 치료 중…
- 31많은 분들이 임플란트 하실 때 많은 정보를 찾아보고 오시는데요 국내 유일무이한 뉴욕대 보철/임플란트과 전문의 박동원 대표원장님이 계신 저희 파크 에비뉴 치과에도 많은 분들이 임플란트를 위해 내원하십니다 임플란트 수술도 중요하지만, 수술만큼이나 중요한 게 수술 후 관리죠 어떤 주의사항이 있는지 파크에비뉴 치과와 함께 알아보시죠! 임플란트 수술 후에는 침과 피가 섞여 나옵니다 이는…


