치근단 수술 사례

 

 

 

 

 

 

 

 

 

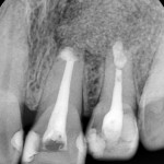
2013-06-19 초진pano#21,22
초진 내원시 찍은 환자분의 방사선사진입니다.  왼쪽 위 중절치와 측절치에 치근 아래에 동그란 모양의 잇몸뼈가 차있지 않는 것을 알 수 있습니다.
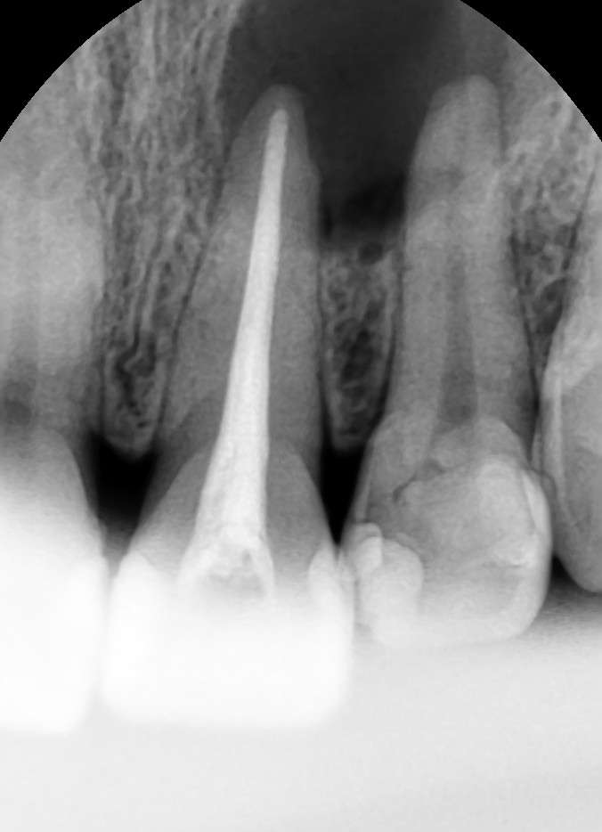
2013-06-19 초진 #21,22
작은 사진을 찍어 보았습니다. 중절치는 예전에 신경치료를 받으셨고 측절치는 신경치료가 되어 있지 않았습니다. 그리고 두 치아 사이가 어두운 색으로 보이는 부분이 있는데  이로써 잇몸뼈가 차있지 않음을 다시 확인할 수 있었습니다. 일단 먼저 측절치의 신경치료를 진행하면서 예후를 관찰해 보기로 하였습니다.  그런데 신경치료 후에도 염증의 사이즈가 줄어들지 않아서 치근단수술을 진행하기로 하였습니다.
2013-07-15 CT
그런데 신경치료 후에도 염증의 사이즈가 줄어들지 않아서 치근단수술을 진행하기로 하였습니다.  정확한 진단을 하기 위해서 CT를 찍어 보았습니다.
치근단 수술 이란 신경치료만으로 회복되지 않을 때 외과적 처리를 병행함으로써 치아를 보존시키는 술식입니다. 치근의 끝 부이에 있는 치조골 주변의 염증조직을 치근단과 같이 제거하게 됩니다. 잘라낸 치아 뿌리에는 MTA(Mineral Trioxide Aggregate)를 사용하여 손상된 신경부위가 치유되게 합니다.
환자분의 경우는 잇몸뼈도 많이 없어져 있기에 뼈이식도 함께 진행하기로 하였습니다.
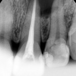
2013-07-26 PA 수술 후
치근단 수술 후 찍은 작은 사진입니다. 치아 뿌리 밑에 있던 염증조직을 긁어내고 뼈이식이 잘 되었음을 확인할 수 있습니다.
치근단 수술 은 치아에 뿌리 끝에 생긴 염증에 직접 접근하여 염증의 원인을 제거 하는 방법으로, 신경치료를 다시하는것이 어려운 경우에 치아를 뽑지 않고 치아를 쓸 수 있게 만들어주는 방법입니다. 치근단 수술 이후 회복 기간이 필요하며 치근단 수술 후에 주기적인 체크가 필요하며 치근단 수술 이후에 다시 염증이 생기지 않는지 엑스레이등의 검사가 필요할 수 있습니다.
2013-11-16 PA 수술 후ck
4개월 후 check 사진입니다. 중절치와 측절치 치근 밑으로 잘 회복되어 있음을 알 수 있습니다.

치근단 수술 문의는 서울 강남구 역삼동에 위치한 파크에비뉴치과 (02)566-6628로 문의 주십시오

답글 남기기

이메일 주소는 공개되지 않습니다. 필수 필드는 *로 표시됩니다