잇몸성형

잇몸성형

잇몸성형이란?잇몸성형

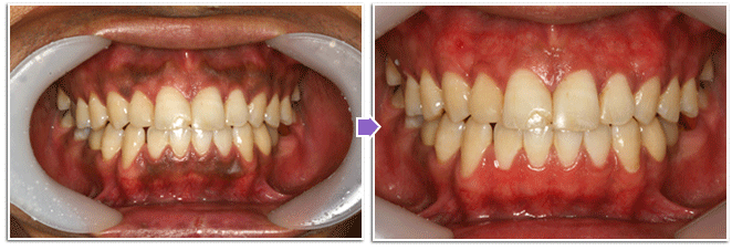
미소를 지을 때 잇몸이 너무 많이 보이거나 잇몸이 비대칭적으로 보이는 분, 치아가 너무 짧아 보이는 분등은 이것이 콤플렉스가 되어 웃을 때 망설이거나 손으로 가리는 등 결국은 밝은 웃음을 잃어버리는 경우가 많이 있습니다. 이 경우 잇몸성형술을 통해 잇몸을 자연스러운 상태로 회복시켜 자신 있는 미소를 되찾게 해드립니다.

최근 젊은 여성들과 연예인들에게 크게 유행하는 시술법으로 치아가 길고 시원스러워 보이는 것이 미의 기준이 되었습니다. 이처럼 잇몸 성형술은 잇몸이 비대하거나 비대칭적인 경우 잇몸의 일부분을 절개함으로서 이상적인 라인을 만들어주는 시술을 뜻합니다.

 가장 이상적인 잇몸의 형태란?

치아의 둘레를 감싸듯이 포물선을 그리고 두껍지 않아야 합니다.
잇몸라인이 좌이 대칭을 이루어야 합니다.
웃을 때 잇몸이 많이 드러나지 않아야 합니다.

 잇몸성형이 필요한 경우

  • 웃을 때 잇몸이 많이 들어나는 경우
  • 웃을 때 치아가 매우 짧게 보이는 경우
  • 잇몸 뿌리가 노출되어 이가 시려지거나 보기에 흉한 경우
  • 잇몸이 모자라 넓혀야만 잇몸 건강을 유지할 수 있는 경우
  • 다치거나 이를 뽑아 잇몸부위가 함몰되어 보이는 경우
  • 틀니가 안정되게 잇몸에 붙어 있도록 하고 싶은 경우
  • 앞니의 잇몸 선이 고르지 않아 비대칭적일 경우

 

 잇몸성형

사람의 잇몸은 치아 건강에 있어 정말 많은 부분을 차지하지만, 특히나 심미적으로도 중요한 역할을 하게 됩니다. 미소를 지을 때 잇몸이 너무 많이 보이거나 잇몸이 비대칭으로 보이는 경우 뿐만 아니라, 멜라닌 색소 침착으로 잇몸 색조가 탁해지고 어두워진 경우 등 경우에 잇몸 성형을 통해 잇몸을 자연스러운 상태로 회복시켜 자신있는 미소를 되찾을 수 있습니다.

 

잇몸성형 방법

  • 1-day 잇몸라인 성형술

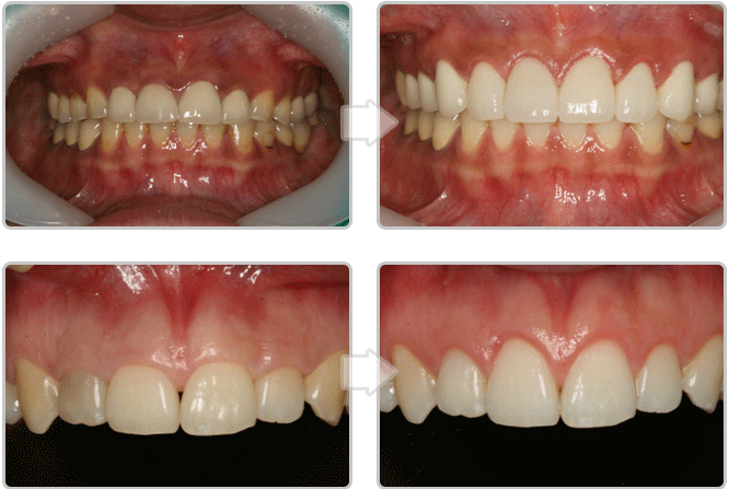
    잇몸이 퉁퉁하거나 잇몸이 치아를 많이 덮고 있게 되면 답답해 보입니다. 이때 잇몸라인 성형술로 잇몸을 날씬하게 하거나 치아가 많이 보이도록 잇몸과 치아가 만나는 잇몸라인을 바꾸어주면 훨씬 시원하게 보입니다. 잇몸 라인 성형술은 잇몸의 비대칭시에도 효과가 좋습니다. 간혹 치아의 배열은 고른데 잇몸이 좌우대칭이 아니어서 삐딱해 보이는 경우나 웃을 때 잇몸이 너무 많이 보이는 경우 잇몸라인 성형술을 시행하면 해결이 됩니다.

 

  • 잇몸성형 후 심미치료

잇몸성형 후 심미치료

 

 잇몸 이식술

  • 잇몸 이식이란?

    잇몸 이식은 앞니부위의 치아 뿌리가 노출된 경우나 임플란트를 시행할 부위의 잇몸이 충분하지 않을 때 시행합니다. 잇몸이식용 잇몸은 주로 입천장에서 잘라내며 입천장의 잇몸은 시간이 지나면 재생됩니다. 치아뿌리가 노출된 경우는 우선 뿌리가 노출되는 원인을 찾아내서 치료를 한 다음 잇몸이식을 시행합니다. 원인제거 없이 잇몸이식만 시행한다면 얼마 안 가서 잇몸이 다시 없어지거나 잇몸이식 자체가 실패하게 됩니다.

잇몸이식

 

잇몸 박피술

  • 잇몸 박피술이란?

잇몸에 멜라닌색소가 많아서 검게 보이는 경우나 표면이 거친 경우에 잇몸 박피술을 시행합니다. 피부로 치면 기미나 점을 제거하는 것과 같은 것입니다. 잇몸이 검고 칙칙하면 치아가 가지런하고 하얗더라도 깨끗한 느낌을 주기 어렵습니다. 잇몸 박피술은 건강한 분홍색의 잇몸을 되찾아서 아름다운 미소를 만들어줍니다.
잇몸 박피술

사각턱 교정 v 라인 만들기

  • 사각턱 보톡스란?

사각턱의 원인은 턱뼈 자체가 크고 각진 경우도 있지만, 각진 턱이 아니었는데 나이가 들면서 턱근육이 발달하여 사각턱이 되는 경우가 대부분입니다. 근육은 사용할수록 발달하는 반면 사용하지 않으면 퇴화하는 특징이 있기때문에 보톡스를 적정량 주입하여 저작근의 움직임을 줄임으로써 사각턱의 부피를 축소시키는 것입니다.
사각턱 교정

 

답글 남기기

이메일 주소는 공개되지 않습니다. 필수 필드는 *로 표시됩니다