이 환자분은 위아래 틀니를 사용하시는 분인데 틀니를 거는 지대치인 앞니가 많이 흔들린다며
내원하셨습니다. 구강 내를 살펴보니 구강위생이 좋지 않아 치태,치석도 많고 잇몸이 많이 부어 있었습니다.
파노라마 방사선 사진도 살펴보면 치아를 잡는 치조골이 치아 뿌리 끝까지 많이 녹았음 확인할 수 있었습니다.
따라서 치아를 발치하고 전악 임플란트를 수복하기로 결정 하였습니다.
치료 중 찍은 방사선 사진입니다.
치료 필요에 따라 뼈이식도 진행하였습니다.
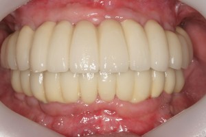
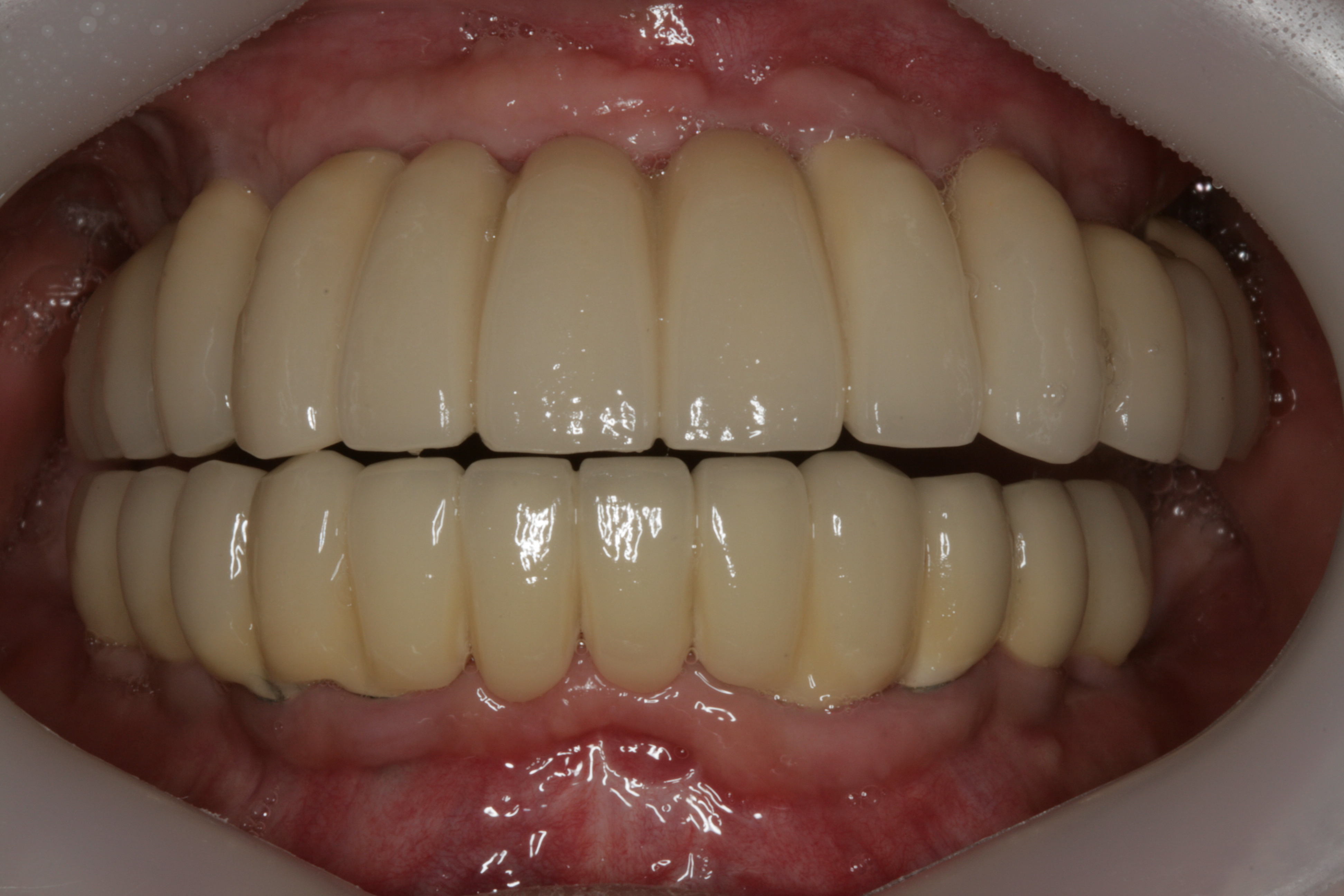
최종 보철물까지 올리고 난 후 구강 내 사진입니다.
평상시의 교합 뿐만아니라 좌우로 아래턱을 크게 움직였을 때도 불편함이 없습니다.
이후 환자분은 정기적으로 체크를 받고 계시고
이전에 좋지 않았던 구강위생도 계속적인 구강위생교육으로 많이 개선되었습니다.
Related Posts
- 40
- 37안녕하세요. 고난도 임플란트도 잘하는 파크에비뉴 치과입니다. 더운 여름 잘 지내고계시나요? 계속해서 폭염이네요 오늘은 PRF에 대해 알려드릴게요. PRF(platelet rich fibrin)즉 혈소판 농축 섬유소라고도 합니다. 수술을 받는 환자에게서 10cc 정도의 혈액을 채혈 후 원심분리하여 겔을 추출 후 임플란트 뼈이식 시 함께 사용합니다. PRF는 발치부위와 임플란트 식립 씨 뼈이식 할 때…
- 35












