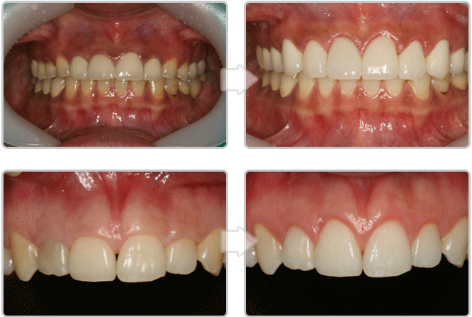
【PARK_AVENUE 牙科】一天牙龈线条整容术 2410월 By 파크에비뉴치과 牙龈整容方法 * 一天牙龈线条整容术 牙龈肿还是牙龈覆盖牙齿时看起来好闷。这是通过牙龈线条整容术变好看! 牙龈线条整容术是不对称时也有好效果。有时候牙齿的排列对称,但是牙龈的左右不对称笑的时候不好看! 这样的话,跟医生商谈,实行牙龈线条整容术可以解决! 联系我们 电话 (02)566-6628 正畸科 (02)564-2885 QQ 2787131397 微信 Parkavedc 이 글 공유하기:친구에게 전자우편으로 보내기 (새 창에서 열림)Facebook으로 공유하기 (새 창에서 열림)트위터로 공유하기 (새 창에서 열림)구글 +1에서 공유하려면 클릭하세요 (새 창에서 열림)