睡眠种植牙是什么?
跟全身麻醉不同,有意识的状态上进行,使用安全的手术方式后遗症也少。最近普遍化的手术。
这种睡眠种植牙手术是大部分手术中的记忆没有,非常放松! 所以可以算镇静麻醉。
睡眠种植牙,推荐给下下列人士!
– 对牙科恐怖感的人
– 因为害怕犹豫种植牙手术的人
– 不能坚持手术时间的高年龄的患者
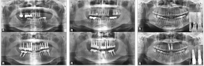
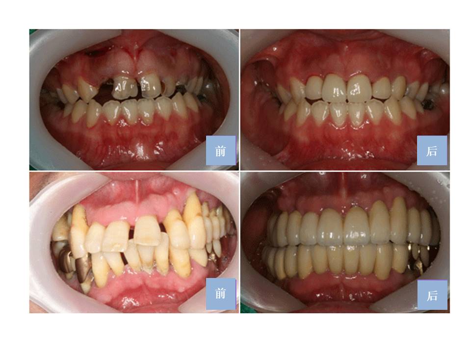
– 许多种植牙,一次要种植的人
– 预想复杂而且长期限手术时间的人
– 牙科治疗时反胃严重的人
– 麻醉的很差受苦的人
Related Posts
- 58对于不喜欢牙科的患者好消息! 睡眠种植牙是对于种植牙手术害怕,痛症,机械噪音等这种许多原因不能接受手术的患者开始的手术方式。睡觉的状态上没有痛症,害怕时接受种植牙手术的方式。跟全身麻醉不同有意识的状态上进行,非常平安的精神状态比较安全的手术方式后遗症也很少。最近普遍化的手术。 睡眠种植牙是通过静脉注射假睡眠状态上一些麻醉手术。这种睡眠种植牙手术是进行时几乎没有手术中的记忆,非常舒服所以可以说镇静麻醉。


