因为外边看得见的矫正器犹豫治疗吗?
PARK AVENUE牙科作为看不见的牙齿矫正的领先者,我们约定更深美的牙齿矫正治疗!
# 看不见的牙齿矫正
舌侧矫正、incognito是看不见牙齿矫正器。

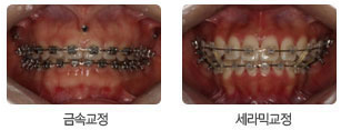
# 金属和陶瓷类矫正
金属矫正器是接受治疗间可以看见矫正器。这就是犹豫矫正的原因之一。
使用树脂陶瓷类等更审美的矫正装置,还有矫正器看见的问题。
#舌侧矫正和incognito
牙齿的内侧贴矫正器治疗的舌侧矫正,使用高科技三维电脑软件金制作的舌侧器Incognito是看不见在外面。
舌侧矫正和incognito有在外面看不到的优点,但是制作的过程非常精密和复杂所以需要正确的诊断和治疗计划,患者各个不同精密的治疗。所以,高度的训练和临床经验是必不可少的。
舌侧矫正和incognito等的矫正治疗必须找有经验的矫正医生。就会拥有美好的结果!
#韩国、欧洲、世界舌侧矫正学会正式会员、incognito认证医生



