뼈이식 임플란트, 상악동거상술 전문 강남수면치과

뼈이식 임플란트, 상악동거상술 전문 강남수면치과

 상악동거상술, 뼈이식 임플란트 전문치과 –  뼈이식 수면임플란트 치과

박근호치료전후

뼈이식 임플란트 – 치조골이식 전문치과에서 상악동거상술 뼈이식 임플란트에 대해서 설명해드리겠습니다

대부분 상악 어금니 임플란트 수술시 상악동거상술 임플란트가 필요한 경우가 많습니다

뼈이식 수술중에서 특히나 상악동거상술은 뼈이식수술의 난이도가 높은 수술입니다

하지만 3차원 디지털 양상을 비롯한 정확한 진단을 바탕으로 뼈이식 수술이 이루어진다면 임플란트 뼈이식 수술의 실패율은 걱정하지 않으셔도 됩니다

물론 모든 수술의 성공률은 100%란 것은 장담하기 어렵지만, 어려운 뼈이식 수술이나 상악동거상술에 대해 너무 고민하거나 두려움을 가지지는 않아도 된다고 말씀드리고 싶습니다

임플란트 뼈이식 수술의 실패를 방지하기 위해서는 정확한 사전검사가 필수적입니다

말씀 드린대로 정확한 진단과 정확한 수술이 이루어진다면 뼈이식 임플란트는 성공적일 수밖에 없습니다

파크에비뉴 치과는 뼈이식 임플란트전문 병원으로 특히 상악동거상술 뼈이식 임플란트 시술 경험이 많습니다 임플란트 전문 원장님이 아니라면, 임플란트 수술 이후 치아의 저작 기능이 예상보다 저하되는 경우가 많습니다

파크에비뉴 치과는 임플란트 수술전문병원으로 상악동 거상술 뼈이식 임플란트에 대해 최고의 시술을 합니다

인공뼈 이식 임플란트 수술이나 상악동 거상술 뼈이식 임플란트 수술시는 아무리 부분마취를 한다고 하더라도 느끼는 통증이 심할수 있습니다

이런 경우 뼈이식 임플란트 수술시 수면마취로 하시게 되면 임플란트 수술시 통증이나 아픔을 느끼지 못합니다

 

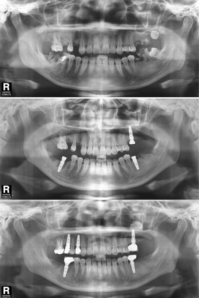
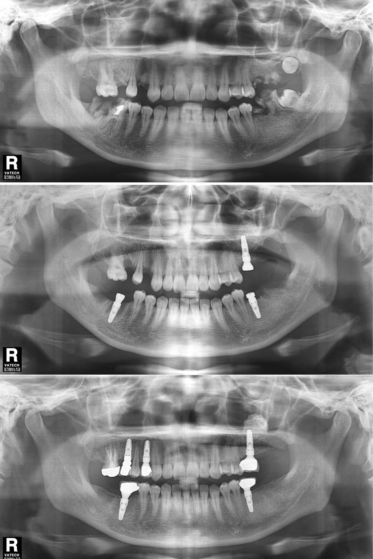
상악동거상술 이식술 뼈이식수술 치료전후 비교사진

상악동거상술

 

 

Related Posts

  • 35
    이 환자분은 위아래 틀니를 사용하시는 분인데 틀니를 거는 지대치인 앞니가 많이 흔들린다며 내원하셨습니다. 구강 내를 살펴보니 구강위생이 좋지 않아 치태,치석도 많고 잇몸이 많이 부어 있었습니다. 파노라마 방사선 사진도 살펴보면 치아를 잡는 치조골이 치아 뿌리 끝까지 많이 녹았음 확인할 수 있었습니다. 따라서 치아를 발치하고 전악 임플란트를 수복하기로 결정 하였습니다.   치료 중…
    Tags: 임플란트, 뼈이식

답글 남기기

이메일 주소는 공개되지 않습니다. 필수 필드는 *로 표시됩니다