앞니 임플란트 치료 사례

김정아 앞니 치료전

앞니 임플란트 치료를 하고 싶어서 내원하신 환자분입니다.

오래 전에 앞니를 부딪혀서 금이 갔었는데 따로 치료를 받지 않으시고 약 5년간 방치하신 상태였습니다.

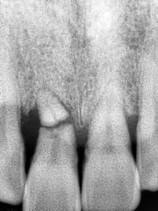
김정아 앞니 치료전 PA

작은 방사선 사진을 하나 찍어 보았습니다.

오른쪽 위 중절치의 치아 뿌리 끝에 수평으로 금이 가 있는 것을 볼 수 있습니다.

전반적으로 중절치 두 개가 동요도도 크고 치아 뿌리가 짧아 오래 쓰기는 힘들어 보입니다.

그래서 중절치 두 개를 발치하고 앞니 임플란트 를 식립하기로 결정하였습니다.

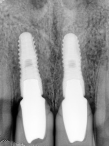
김정아 앞니 치료후 PA

앞니 임플란트 2개를 식립하고 최종 보철물 까지 올린 작은 방사선 사진입니다.

앞니 임플란트 2개가 잇몸뼈에 잘 식립된 것을 확인할 수 있습니다.

김정아 앞니 치료후

앞니 임플란트 잘 못 시술 받게 되면 많은 고통과 재수술의 어려움이 따릅니다.

앞니 임플란트 첫 단추가 잘 채워져야 나머지 단추가 맞게 채워지듯이, 앞니 임플란트 시술을 위한 치과 선택도 잘 하셔야겠죠!

앞니 임플란트 상담은 앞니 임플란트 전문 치과인 파크에비뉴치과 (02)566-6628로 문의 주시면 앞니 임플란트 실패하지 않고 만족 스러운 결과를 약속드립니다.

Related Posts

  • 48
    안녕하세요. 앞니 임플란트 재수술도 잘하는 파크에비뉴 치과입니다. 요즘 황사가 잔뜩이더니 오늘은 비가 와 날씨가 선선하네요! 오늘은 앞니 임플란트 관련 포스팅합니다 :) 앞니는 참 까다롭습니다. 앞니 임플란트를 고려하시는 분들은 아시겠지만, 앞니 부위의 뼈는 다른 어금니 부위에 비하여 얇은 편입니다. 환자에 따라서 뼈의 각도의 차이가 나기 때문에 임플란트 식립이 참 까다롭습니다. 또한 입술은 매일…
    Tags: 앞니, 임플란트, 임플란트를
  • 43
    안녕하세요! 고난도 임플란트도 잘하는 파크에비뉴 치과입니다. 모두들 아시겠지만, 저희 파크에비뉴 치과는 보건복지부에서 외국인 환자 유치의료기관 등록을 받았습니다. 영어 진료는 물론 중국어, 몽골어 진료도 상주하는 코디네이터 분들이 계셔 원활하게 받으실 수 있습니다.  :^) 올해 초 저희 병원을 내원해주신 말레이시아 환자분께서 앞니 크라운 후기를 작성해주셨는데요. ▼▼▼▼▼▼▼▼▼▼▼▼▼▼▼▼▼▼▼ https://blog.naver.com/nyudent/221286032691 발치 부위 회복기간이 지난 후…
    Tags: 임플란트, 임플란트를, 앞니
  • 37
    말을 하고 웃을 때 가장 많이 보이는 앞니! 따라서 앞니 파절이나 빠진 치아는 심미성이 많이 떨어지겠죠, 특히나 사람을 만나 이야기할 때 많이 신경 쓰이는 부분인데요 앞니 임플란트에 대해 알아보도록 하겠습니다! 앞니가 사고로 인해 깨지거나 선천적인 이유로 없는 경우 표정과 미소가 어색해지죠 앞니 임플란트 시술은 노출도가 높아 심미적인 부분과 기능적인 부분…
    Tags: 임플란트, 앞니
  • 36
    앞니 임플란트 재수술로 본 앞니 임플란트 전문치과의 중요성앞니 임플란트 !  저렴하다고 아무데서나 하면 안되죠!! 앞니 임플란트는 기능뿐 아니라 심미적으로도 굉장히 중요한 부분입니다. 이러한 부분을 충분히 충족시켜 주지 못해 앞니 임플란트 후에 만족하지 못하시는 분들이 생각보다 많이 있습니다. 그래서 앞니 임플란트를 할 경우에는 이러한 것들을 꼼꼼이 생각해보고 따져야 후회없는 선택을 하실 수 있습니다. 아래 사진을 보시면 이 환자분은…
    Tags: 앞니, 임플란트
  • 36
    오른쪽 아래 임플란트 수복을 원하셔서 내원하신 환자 분입니다. 뿐만아니라 예전에 했던 앞니 보철의 길이가 짧게 보여서 다시 치료받고 싶다고도 말씀하셨습니다.   임플란트 시술한 후의 방사선 사진입니다. 작은 방사선 사진도 하나 찍어 보았습니다. 임플란트가 치조골에 잘 식립되어 있음을 확인할 수 있었습니다.   환자분 웃을 때 사진입니다. 웃을 때 잇몸이 많이 보이십니다.…
    Tags: 임플란트, 앞니, 잘

답글 남기기

이메일 주소는 공개되지 않습니다. 필수 필드는 *로 표시됩니다