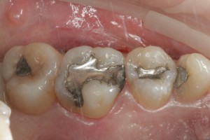
왼쪽 위 아말감이 미관상 보기 싫다는 이유로 내원하신 환자분입니다.
아말감으로 수복한지 꽤 오래되었기에 기존의 아말감을 제거하기로 했습니다.
아말감을 제거하고 나니 하방으로 이차충치가 있었습니다.
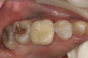
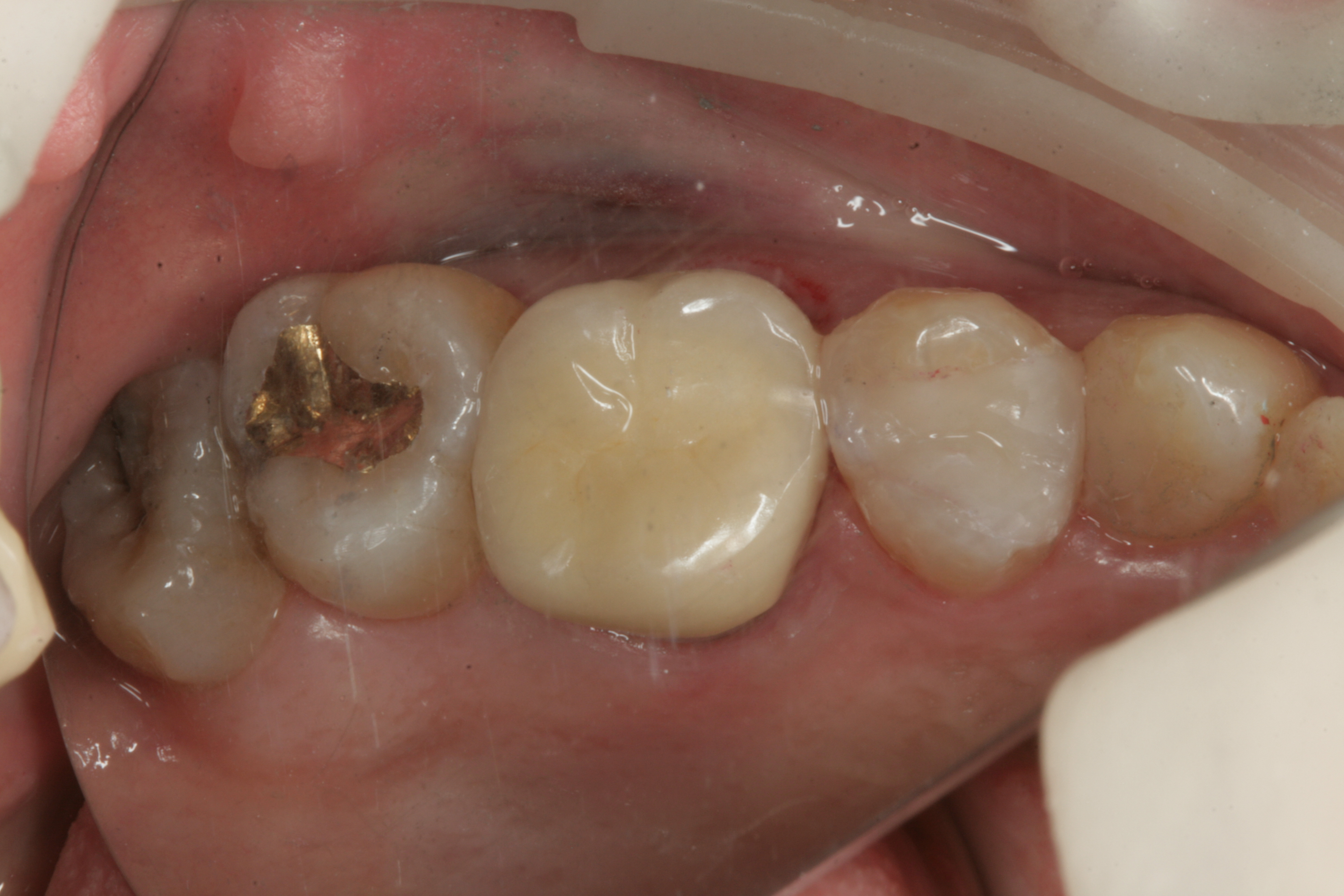
가장 뒤 어금니는 잘 보이지 않으므로 금인레이로 하기로 했고
그 앞 치아 2개는 기존의 아말감을 제거하고 지르코니움 크라운과 세라믹 인레이로 치아 색깔로 맞추었습니다.
Related Posts
- 42안녕하세요. 파크에비뉴 치과입니다. 어제 우연히 인터넷으로 치아 크랙에 대한 기사를 읽었어요! 잘 관리해놓은 치아에 균열이 간다면, 정말 속상하겠죠 관련해서 여러분께 정보를 전달하고자 포스팅합니다 :) 치아 크랙(Crack)이란? 치아 크랙이란 '치아균열 증후군'이라고도 불리며, 치아에 금이 간 경우를 말합니다 치아 크랙의 증상 음식을 씹을 때 시큰거리면서 통증이 오고, 차가운 것에 민감하다고 느껴지면 치아…



