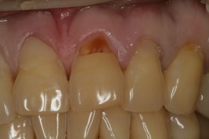
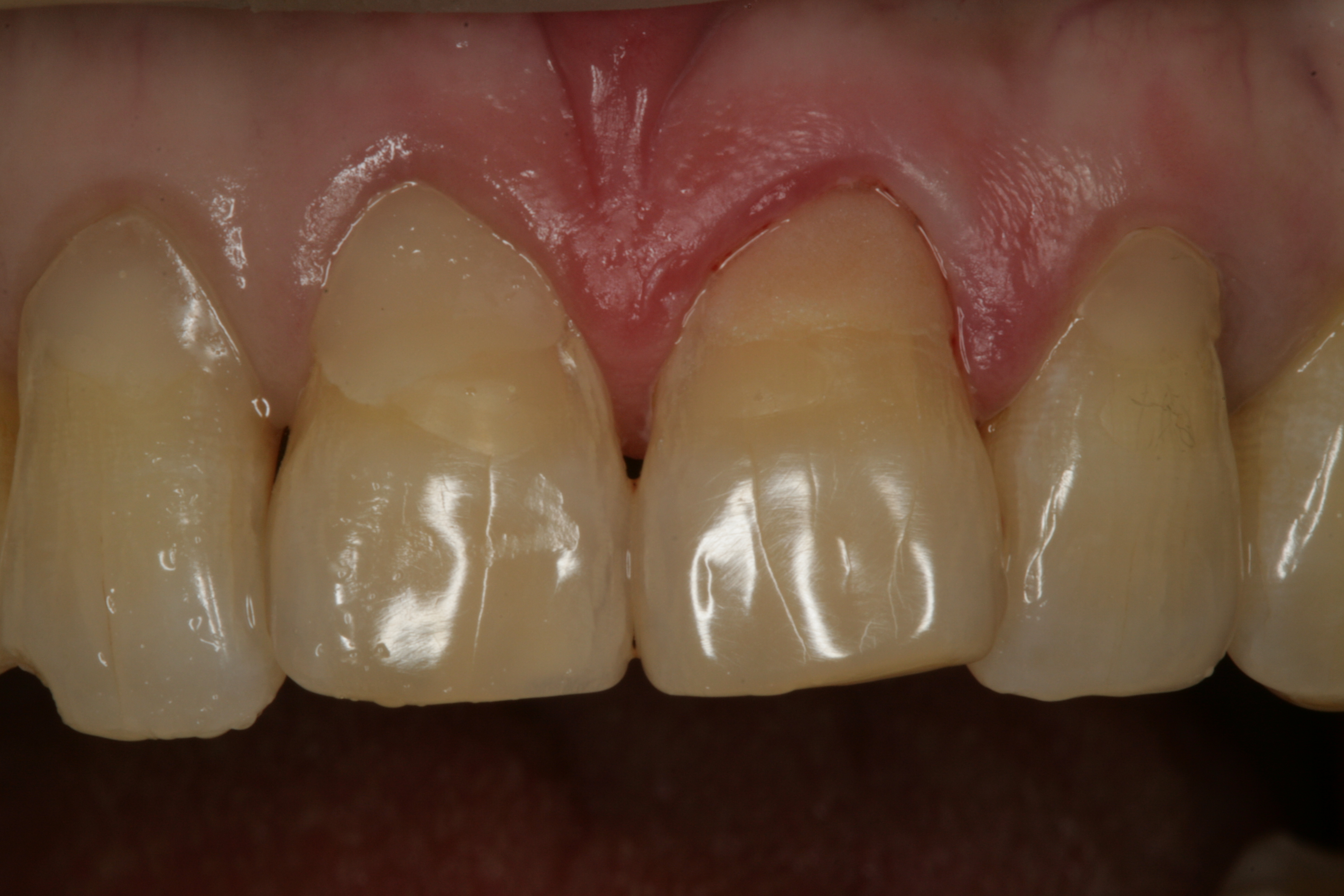
왼쪽 위 중절치가 많이 패였다며 내원하신 환자분의 임상사진입니다.
치아와 잇몸사이 부분인 치경부가 많이 패여있음을 볼 수 있습니다. 이것을 치경부 마모증이라고 합니다.
과도한 교합력, 잘못된 칫솔질 등의 원인으로 치경부 마모증이 생기게 됩니다.
이렇게 패인 치아를 계속 방치할 경우 신경까지 노출되어 부득이하게 신경치료를 해야하는 경우도 있고
경우에 따라서는 저작할 때마다 받는 교합력을 남은 치질만으로 견뎌야하기 때문에 치아가 부러질 수도 있습니다.
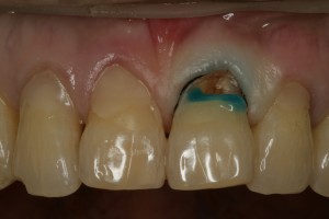
치료를 시작하기로 하였습니다. 치료 중의 임상사진입니다.
레진이라는 재료로 치경부를 매끈하게 채워 놓기 위하여 잇몸사이에 검은 실을 넣은 것을 볼 수 있습니다.
사진에서 보이는 파란색 물질은 레진을 채워 넣기 전에 하는 술식입니다.
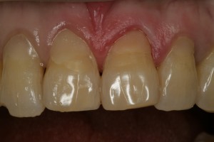
치료가 끝난 후의 사진입니다. 기존의 다른 치아 색깔과 조화로운 레진 치료가 되었습니다.


