[ 신경치료 다시 치료가 필요한 경우 ]
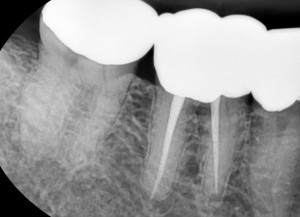
환자분께서 오른쪽 아래 치아를 신경치료 를 했는데도 씹을 때마다 아프시다며 내원하셨습니다.
여기선 신경치료 란 ‘치아의 신경관 내에 있는 신경이나 혈관 같은 연조직을 제거하고 소독하여 밀폐하여
박테리아에 의한 감염을 막는 치료’입니다.
치료 받은지도 4~5년이나 되었다고 하셔서 작은 방사선 사진을 찍어보기로 하였습니다.
치아 해부 구조상 신경관은 매우 가늘고 복잡하게 생겨있기에
드물지만 해당 치아의 신경관 중 하나가 치료가 안 된 경우도 있습니다.
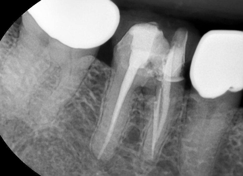
그래서 신경치료 를 다시 하기로 하였습니다.
해당 치아의 보철물을 제거하고 신경치료 를 다시 한 방사선 사진입니다.
첫번째 방사선 사진에서 볼 수 없었던 하나의 신경관이 찾아져서 치료가 되어있는 것을 볼 수 있습니다.
신경치료 다시 한 후 환자분의 씹을 때마다 아프다는 증상은 많이 개선되었습니다.
신경치료를 다시 받고 싶다면 강남구 역삼동에 위치한 파크에비뉴치과 (02)566-6628로 문의 하십시오

