
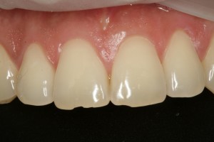
중절치의 절단연이 깨졌다고 내원하셨습니다. 초기 사진을 보시면 치아 절단연이 약간 깨졌습니다. 깨진 부위가 크지 않기에 법랑질 성형술을 진행하기로 결정하였습니다.
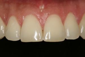
법랑질 성형술이란 치아를 덮거나 씌우는 재료 없이, 치아의 가장 외층인 법랑질을 삭제하여 치아 모양을 다듬는 술식입니다.

술후 사진입니다. 중절치의 매끈한 면을 볼 수 있습니다.
Related Posts
- 32안녕하세요. 파크에비뉴 치과입니다. 어제 우연히 인터넷으로 치아 크랙에 대한 기사를 읽었어요! 잘 관리해놓은 치아에 균열이 간다면, 정말 속상하겠죠 관련해서 여러분께 정보를 전달하고자 포스팅합니다 :) 치아 크랙(Crack)이란? 치아 크랙이란 '치아균열 증후군'이라고도 불리며, 치아에 금이 간 경우를 말합니다 치아 크랙의 증상 음식을 씹을 때 시큰거리면서 통증이 오고, 차가운 것에 민감하다고 느껴지면 치아…