[선정릉역치과] 토끼이빨 단기간 해결책은? 파크에비뉴치과 실제 사례

안녕하세요 선정릉역 치과
파크에비뉴 치과입니다.

예전에 토끼 이빨이 귀여운 이미지였다면
나이가 들면서, 성숙하지 않은 이미지가 되기 십상이죠

시간과 비용 등의 문제로
교정을 원치 않는 분들도 계실 텐데요

이럴 때 라미네이트 및 수복치료로
치아성형이 가능합니다!

치아 모양 또는 색상 등 원하는 모습으로
짧은 시간 내에 눈에 띄는 효과를 얻을 수 있어
예전엔 연예인 치료라고도 불렸죠

▼ 라미네이트 장단점 확인▼

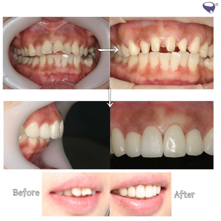
라미네이트를 통한 심미치료

치아의 돌출 정도가 심해
올세라믹 크라운으로 심미치료 진행

라미네이트를 통한 심미치료

라미네이트를 통한 심미치료

미백치료-치아삭제-임시치아-올세라믹크라운

올세라믹 크라운으로 심미치료 진행

교정장치보다 저렴하며,
단기간에 해결할 수 있다는 장점이 있는 반면
치아삭제라는 단점이 존재합니다.

위 링크에 있는 포스팅 확인하시고,
장,단점을 인지하시어
자신에게 맞는 시술인지 충분한 상담 거치시기 바랍니다

Related Posts

  • 31
    今天以演员治疗已有名的牙齿治疗 关于牙齿贴面修复学习一下吧! 贴面修复是什么? 牙齿贴面是牙齿美白修复的一种技术, 为了以恢复牙体形态、改善色泽 比较短的时间内可以收到很好的效果。 不需要麻醉手术,很多患者们选好的治疗方式。  因为不好看的牙齿排列,着色等等原因 来院我们PARK AVENUE·牙科 恢复非常满足的微笑。 牙齿贴面修复的对象人是谁? 牙齿的颜色不良光的患者 牙齿有损伤的患者 牙齿排列不好看的患者 牙齿牙缝比较的的患者 牙齿的大小不满足的患者 与PAKR AVENUE牙科 一起恢复美丽的微笑!  
    Tags: 파크에비뉴, 치아, 치과, 미소, 라미네이트

답글 남기기

이메일 주소는 공개되지 않습니다. 필수 필드는 *로 표시됩니다