今天以演员治疗已有名的牙齿治疗
关于牙齿贴面修复学习一下吧!
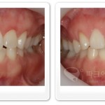
贴面修复是什么?
牙齿贴面是牙齿美白修复的一种技术,
为了以恢复牙体形态、改善色泽
比较短的时间内可以收到很好的效果。
不需要麻醉手术,很多患者们选好的治疗方式。
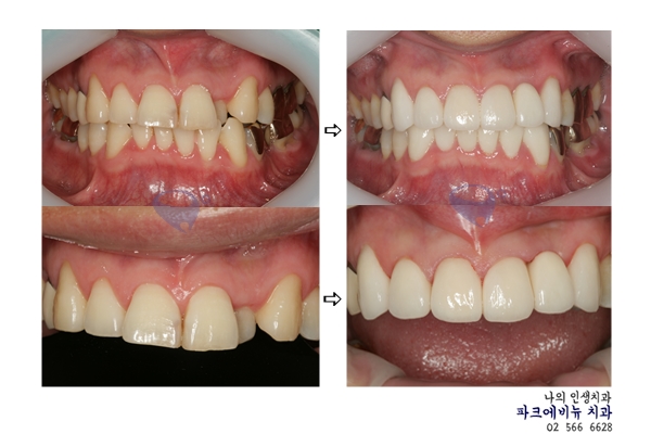
牙齿贴面修复的对象人是谁?
牙齿的颜色不良光的患者
牙齿有损伤的患者
牙齿排列不好看的患者
牙齿牙缝比较的的患者
牙齿的大小不满足的患者
Related Posts
- 36안녕하세요! 언주역 치과 파크에비뉴 치과입니다. 대부분 환자분들이 치통으로 인해 충치가 의심되어 치과를 내원해주시는데, 검진 후 신경치료가 필요하다는 이야기를 들으시는 환자분들도 더러 있으시죠? 신경치료가 왜 필요할까요? 신경치료는 충치가 치수 조직까지 감염시켰을 때 진행하게 되는데요. 신경치료는 단발성으로 끝나는 치료가 아니기 때문에 정확한 검진을 통해 몇 번의 내원이 필요한지 결정됩니다. ▼충치의 단계 및 예방법 ▼…
- 33
- 32임플란트 재건치료 잘하는 치과 언주역 파크에비뉴 치과입니다 치통으로 치과를 찾은 경험 다들 한번쯤은 있으실 것 같네요 오늘은 충치의 단계에 대해 알아보도록 하겠습니다! 충치란? 충치는 충치균에 의해 치아속의 칼슘성분이 빠져나가는 것을 말하며 의학용어는 치아우식증이지만 흔히 충치라고 부릅니다. 충치균은 치아표면에 남아있는 설탕과 탄수화물을 먹고 사는데 이때 배설물로 나오는 산이 치아속의 칼슘을 녹히는 성질을 가지고…
- 31안녕하세요 선정릉역 치과 파크에비뉴 치과입니다. 예전에 토끼 이빨이 귀여운 이미지였다면 나이가 들면서, 성숙하지 않은 이미지가 되기 십상이죠 시간과 비용 등의 문제로 교정을 원치 않는 분들도 계실 텐데요 이럴 때 라미네이트 및 수복치료로 치아성형이 가능합니다! 치아 모양 또는 색상 등 원하는 모습으로 짧은 시간 내에 눈에 띄는 효과를 얻을 수 있어…
- 30




