하얀치아를 위한 필수 코스인 치아미백치료
아직도 아프게 미백하고 있나요?
안아픈 미백전문치과 파크에비뉴치과에서 무통미백, 수면미백에 대해 알려드리겠습니다
요즘은 흡연이나 커피나 티, 혹은 와인을 마시는 빈도가 예전에 비해 월등하게 많기 때문에 좋아하는 분들이 많다보니 아무래도 치아착색 때문에 고민하는 분들이 많습니다
하지만 미백치료를 아프고 시린통증을 호소하시는 분들이 많이 계십니다.
시린통증으로 힘드신 분들은 수면마취 후 미백을 하면 이런 통증을 느끼지 못합니다.
파크에비뉴 치과의 수면치료는 치과치료시 힘들어하시는 분들이나 치과 공포가 있는 분들에게 안전하고 편안한 치료를 약속드립니다
하지만, 수면미백시에는 미백을 할 그 당시에는 시리거나 통증을 느끼지 못하지만, 일반미백을 할때와 마찬가지로 미백치료가 끝나고 난 후에는 마찬가지로 하루나 이틀정도 시린증상을 느낄 수 있습니다.
치아미백에는 3번정도 내원해서 받게되는 1) 일반 치아미백과 하루에 끝나는 2)원데이 치아미백이 있습니다.
내원하셔서 자세한 미백상담을 해드리도록 하겠습니다
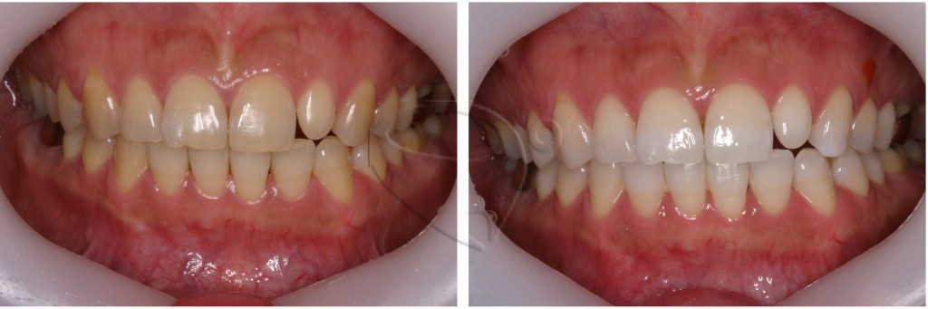
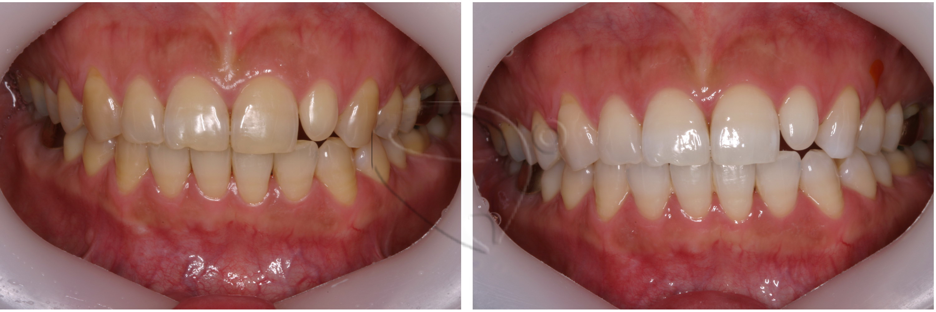
< 미백치료 전후 -강남무통 미백전문치과 >
그렇다면 치아미백 치료란 어떤 것일까요?
치아미백을 하기 전에 치아미백은 치아의 어떤 부위에 미백이 되는 것일까요?
치아에는 법랑질과 상아질이라는 곳이 있는데 이곳은 우리가 눈에 보이는 치아색이 담겨있는 곳이며 바로 이곳에 치아미백을 합니다
치아미백이란 누렇게 착색된 치아의 법랑질과 상아질을 미백제와 레이져를 사용하여 희게 만드는 것으로, 치아미백에 쓰이는 미백제는 1960년대 치아미백의 탄생지인 미국의 한 치과의사가 잇몸 질병치료를 위해 사용하던 카바마이드 퍼록사이드(carbamide peroxide)라는약품으로 치아미백을 할 수 있다는 사실이 발견하게 되면서 시작되었으며, 지금까지 치아미백의 미백제로 이용되고 있습니다.
담배를 피우거나, 특정 음식물 때문에 변색된 경우, 나이가 들어 이가 누렇게 되거나 유전으로 인해 누런 경우는 치아미백의 효과가 엄청나게 높습니다.하지만 테트라사이클린 등의 항생제를 복용으로 인해 치아가 변색된 경우라면 치아미백을 하기 전에 의사선생님께 꼭 알려주셔야 합니다.
치아미백시 충치가 있거나 건강하지 않은 치아는 치아미백제가 자극을 줄 수도 있습니다
< 강남치과- 치아 미백에 대해 좀 더 알아보겠습니다 >
1. 치아미백은 치아표면에 붙어 있는 치태나 이물질을 제거하고 치아표면을 건조시킨 후에 시행합니다.
2. 치아미백은 미백약제와 특수 광선 즉 레이져를 이용하여 실시합니다
3. 치아미백은 아주 미미하게 치아의 시림이나 통증 등의 부작용이 있을 수 있습니다.
4. 치아미백시 사용하는 특수광선 레이져는 매뉴얼대로 한다면 부작용이 없습니다.
5. 치아미백 하기 전 충치치료와 스케일링을 받아야 더 효과적입니다
수면 치료를 위한 환자 모니터링 장치입니다. 수면마취를 위하여 선진국 기준의 마취방법과 모니터장비로 안전하고 편안한 진료를 약속드립니다. 아프지 않은 치과 파크에비뉴치과는 수면 치아미백 전문으로 수면 마취를 시행하고 있습니다. 무통치료는 수면마취를 말하며 치과에 대한 공포감이나 수술에 대한 불안함을 완화 시켜줍니다. 수면마취는 전신마취와는 달리 환자 자신이 호흡하실 수 있는 안전한 방법입니다. 치료중 센서를 통해 환자분의 호흡수, 혈압, 혈중 산소 농도를 모니터 함으로써 안전한 수면마취 시술을 약속합니다
수면미백 전문치과 파크에비뉴치과 566-6628
수면치료는 강남 파크에비뉴치과와 상의해주십시요
Related Posts
- 43신경치료 더 이상 무서워하지 마세요~~ 수면 무통신경치료 전문치과 신경치료가 아프고 무섭다는 분들이 많습니다 과연 이 공포스럽고 두렵기만 한 신경치료 안아프게 받을수는 없을까요? 안아픈 신경치료 파크에비뉴치과의 수면치과치료 와 함께라면 가능합니다~~~ 이제 신경치료도 더이상 두려뭄의 대상이 아닙니다 < 충치의 진행단계- 신경치료의 진행단계를 아래 그림에서 한번 보도록 하겠습니다 > 1. 충치치료 1단계--> 충치가…
- 30




