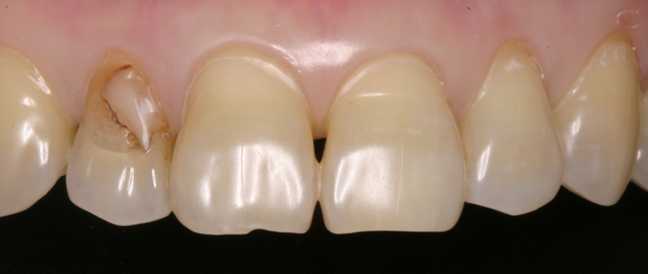
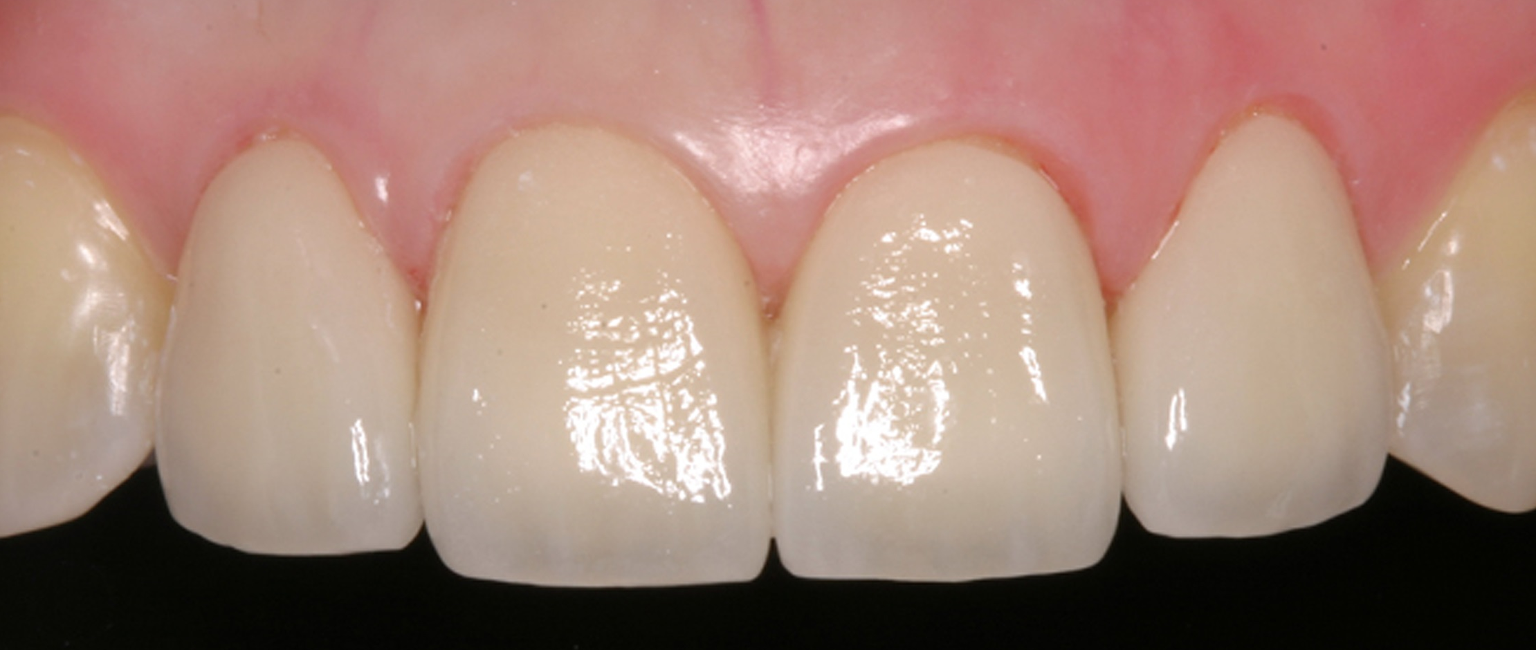
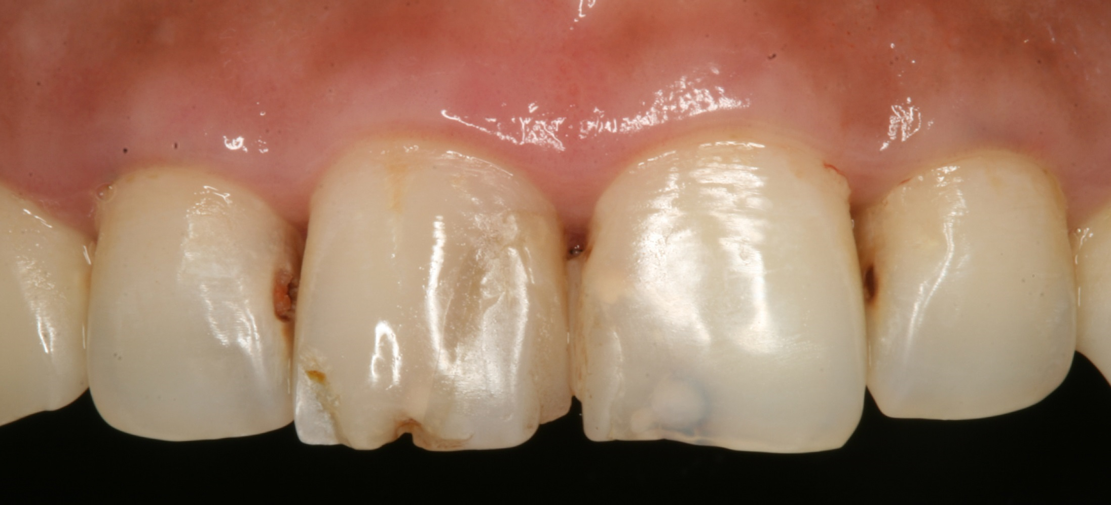
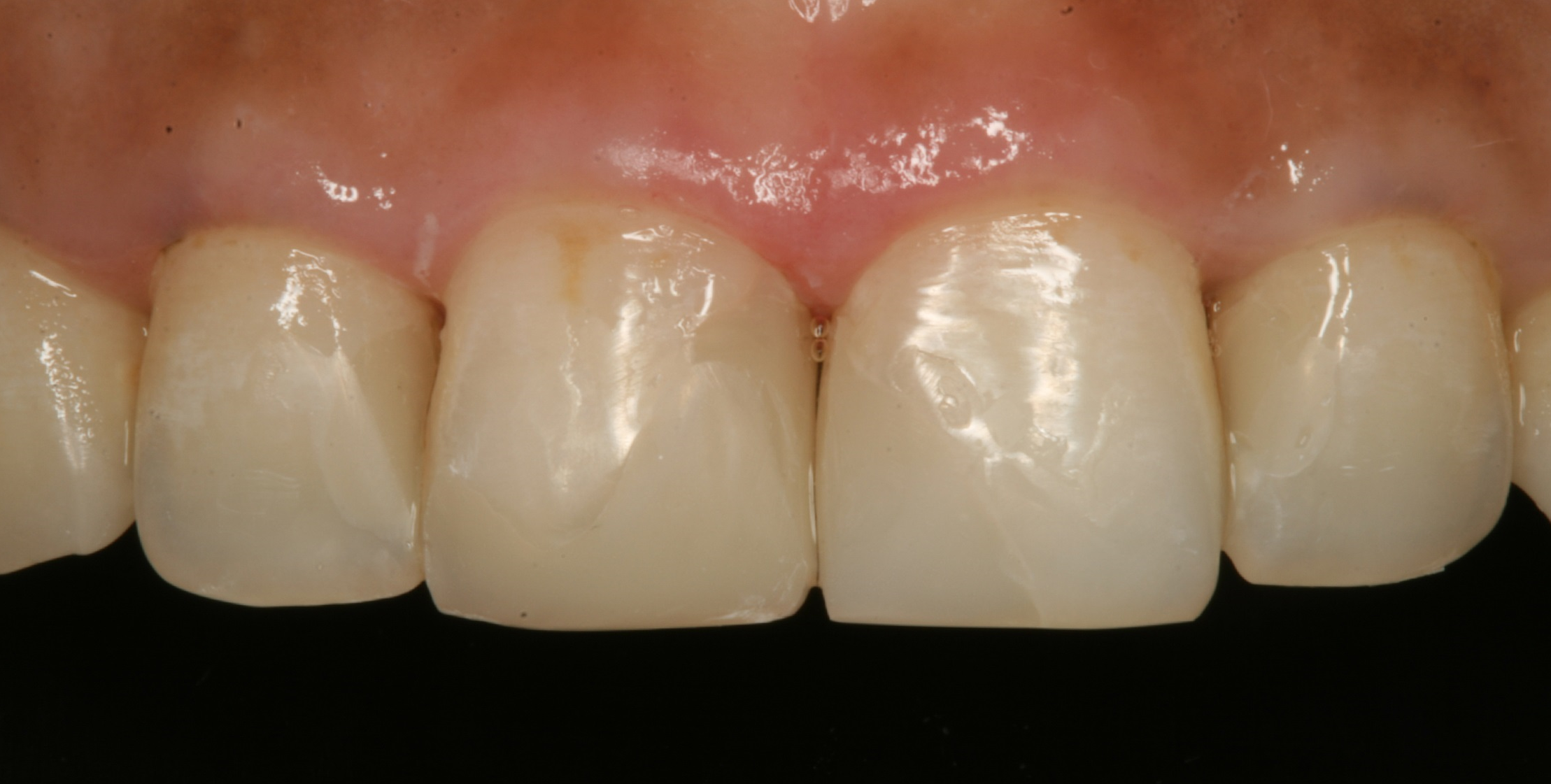
门牙上有蛀牙真不好看!请看看 #门牙治疗前后对比# #龋齿# #虫牙# #蛀牙# #虫牙种类# #蛀牙种类# #牙齿疼# #虫牙治疗# #蛀牙治疗# #蛀牙预防# #虫牙预防# #decayedtooth# #牙疼# #韩国牙科# #韩国口腔医院#
–
–
与ParkAvenue 牙科诊所一起,恢复您一直希望的自信微笑!
–
–
–
⏰诊疗时间⏰
平日 上午09:30-下午18:30
周六 上午09:30-下午16:00
周日,国家节假日休
午餐时间 下午13:00-14:00
–
–
🏙地址
Petra栋 2,3楼65 9 驿三洞,江南区,大韩民国 135-080 –
–
📞联系方式
电话 (02)566-6628
正畸科 (02)564-2885
QQ 2787131397
微信 Parkavedc
Related Posts
- 72大家好!今天我们看看 #根管治疗 #疗程 #神经治疗 #手术 #前后对比 ! #患者 一 #再神经手术 找别的 #根管 #患者二 #根管治疗 #再手术 #患者三 为了蛀牙需要的 #一般根管治疗 - - 与ParkAvenue 牙科诊所一起,恢复您一直希望的自信微笑! - - - ⏰诊疗时间⏰ 平日 上午09:30-下午18:30 周六 上午09:30-下午16:00 周日,国家节假日休 午餐时间 下午13:00-14:00 - - 🏙地址 Petra栋 2,3楼65 9 驿三洞,江南区,大韩民国 135-080 - - 📞联系方式 电话 (02)566-6628 正畸科 (02)564-2885 QQ 2787131397…
- 71#牙齿疼 吗? #今天 我们关于 #蛀牙学习 吧! #龋齿 的种类 #虫牙种类 #蛀牙种类 #蛀牙预防 #虫牙预防 #龋齿预防 - - 与ParkAvenue 牙科诊所一起,恢复您一直希望的自信微笑! - - - ⏰诊疗时间⏰ 平日 上午09:30-下午18:30 周六 上午09:30-下午16:00 周日,国家节假日休 午餐时间 下午13:00-14:00 - - 🏙地址 Petra栋 2,3楼65 9 驿三洞,江南区,大韩民国 135-080 - - 📞联系方式 电话 (02)566-6628 正畸科 (02)564-2885 QQ 2787131397 微信 Parkavedc - - #牙科医生…
- 60上次我拍了从二号线驿三站来院的方式。 这次拍了从九号线彦州来源方式。 请看看视频! - 9号线彦州站6号出口2分钟 2号线驿三站7号出口10分钟 - - - ⏰诊疗时间⏰ 平日 上午09:30-下午18:30 周六 上午09:30-下午16:00 周日,国家节假日休 午餐时间 下午13:00-14:00 - - 🏙地址 Petra栋 2,3楼65 9 驿三洞,江南区,大韩民国 135-080 - - 📞联系方式 电话 (02)566-6628 正畸科 (02)564-2885 QQ 2787131397 微信 Parkavedc
- 57需要重新接受根管治疗的情况!! 这位患者右边下面牙齿接受根管治疗也是吃东西时还是疼内院我们牙科。 根管治疗是‘除去牙齿神经管内的神经或者血管一样的软组织然后消毒密闭防止感染的治疗方式’ 接受治疗也已经四五年了。我们先拍放射线照片。 牙齿解剖结构上神经管是太细而且复杂的。少有的神经管中一个没有治疗的情况也有。所以我们重新治疗根管治疗。 除去本牙齿的补牙物重新接受根管治疗的放射线照片。 第一张照片上看不到的神经管找到了治疗的情况我们可以看得到。 根管治疗以后这位患者吃东西时有的症状得到改善。 - - Park Avenue 牙科诊所提供来自纽约的最好的种植体治疗与先进的医疗实践,以帮助您找到完美的微笑。 - 与ParkAvenue 牙科诊所一起,恢复您一直希望的自信微笑! - ⏰诊疗时间⏰ 平日 上午09:30-下午18:30 周六 上午09:30-下午16:00 周日,国家节假日休 午餐时间 下午13:00-14:00 - - 🏙地址 Petra栋 2,3楼65 9 驿三洞,江南区,大韩民国 135-080 📞联系方式 电话 (02)566-6628 正畸科 (02)564-2885 QQ 2787131397 微信 Parkavedc . . #牙科医生 #韩国牙科 #牙齿美白 #牙齿矫正 #牙齿美容 #牙齿不整齐 #치아미백#parkavenue #parkavenuedentalclinic#parkavenuedental#parkavenuedental_seoul #parkavenue牙科 #牙齿疼 #牙疼 #牙齿美白 #牙齿白不白 #牙齿黄 #牙齿很白 #韩国口腔医院 #江南牙科
- 57通知给大家五月份儿的待诊和休诊计划。 五月是家庭之月而且有劳动节所以比平时休诊日比较多。 请看看五月份儿的计划!预约前请给我联系 :) - - - - - ⏰诊疗时间⏰ 平日 上午09:30-下午18:30 周六 上午09:30-下午16:00 周日,国家节假日休 午餐时间 下午13:00-14:00 - - 🏙地址 Petra栋 2,3楼65 9 驿三洞,江南区,大韩民国 135-080 - - - 📞联系方式 电话 (02)566-6628 正畸科 (02)564-2885 QQ 2787131397 微信 Parkavedc - #牙科医生 #韩国牙科 #牙齿矫正 #牙齿美容 #牙齿楔状缺损预防法 #牙齿酸疼 #牙齿破了 #牙齿损害 #牙颈部 #牙龈 #牙龈部 #牙龈不牙齿




