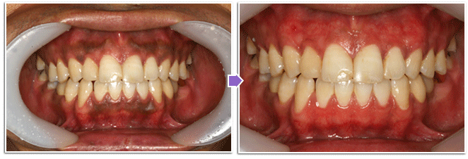
잇몸성형이란 무엇일까요?
최근 젊은 여성들과 연예인들에게 크게 유행하는 시술법으로 치아가 길고 시원스러워 보이는 것이 미의 기준이 되었습니다. 이처럼 잇몸 성형술은 잇몸이 비대하거나 비대칭적인 경우 잇몸의 일부분을 절개함으로써 이상적인 라인을 만들어주는 시술을 뜻합니다.
미소를 지을 때 잇몸이 너무 많이 보이거나 잇몸이 비대칭적으로 보이는 분,
치아가 너무 짧아 보이는 분등은 이것이 콤플렉스가 되어 웃을 때 망설이거나 손으로 가리는 등 결국은 밝은 웃음을 잃어버리는 경우가 많이 있습니다.
이 경우 잇몸성형술을 통해 잇몸을 자연스러운 상태로 회복시켜 자신 있는 미소를 되찾게 해드립니다.
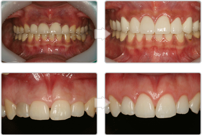
잇몸성형 방법은?
1-day 잇몸라인 성형술
잇몸이 퉁퉁하거나 잇몸이 치아를 많이 덮고 있게 되면 답답해 보입니다.
이때 잇몸라인 성형술로 잇몸을 날씬하게 하거나 치아가 많이 보이도록 잇몸과 치아가 만나는 잇몸라인을 바꾸어주면 훨씬 시원하게 보입니다. 잇몸 라인 성형술은 잇몸의 비대칭시에도 효과가 좋습니다.
간혹 치아의 배열은 고른데 잇몸이 좌우대칭이 아니어서 삐딱해 보이는 경우나 웃을 때 잇몸이 너무 많이 보이는 경우 잇몸라인 성형술을 시행하면 해결이 됩니다.
잇몸 이식이란?
잇몸 이식은 앞니 부위의 치아 뿌리가 노출된 경우나 임플란트를 시행할 부위의 잇몸이 충분하지 않을 때 시행합니다.
잇몸이식용 잇몸은 주로 입천장에서 잘라내며 입천장의 잇몸은 시간이 지나면 재생됩니다.
치아 뿌리가 노출된 경우는 우선 뿌리가 노출되는 원인을 찾아내서 치료를 한 다음 잇몸이식을 시행합니다. 원인 제거 없이 잇몸이식만 시행한다면 얼마 안 가서 잇몸이 다시 없어지거나 잇몸이식 자체가 실패하게 됩니다.
잇몸 박피술이란?








