缺牙种植牙?
没有牙齿的患者也别担心!我们PARK AVENUE的缺牙种植牙手术是大部分牙齿也没有的人也可以手术种植牙。使用我们的技术秘诀牙龈骨头不足,细细的情况也制作固定性口康假体治疗的缺牙种植牙手术。
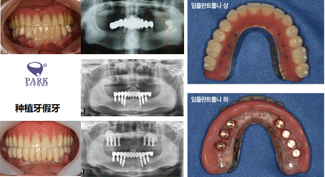
1. 固定性种植牙
牙齿完全没有的时候也使用种植牙可以离开假牙。使用7~12个左右的种植牙制作口康假体,可以跟正常牙齿一样使用。咬的力也比使用假牙的时候强,而且不用带假牙的优点也有。通过PARK AVENUE的技术秘诀细心地考虑牙齿的状态和骨头吸引程度植立正确和安全的种植牙。
2. 假牙性种植牙
全口缺牙的话特别通过种植牙制作比基准使用的假牙方便和性能好的假牙。颚骨前面部分2~4个左右种植牙植立后安装假牙。
比基准的假牙不容易脱落,咬力也更好,而且省钱就很好的办法。




