怀孕妇要知道的胎儿时发现的先天性口康疾病
胎儿的先天性口康疾病 – 唇列口
胎儿的先天性口康疾病 – 腭裂
代表的胎儿口康疾病中有唇列口和腭裂。怀孕6~12个周期间形成胎儿的上腭和嘴唇。这时为了怀孕妇的营养不足、露出放射、类固醇注入、阿司匹林和其他药物注入、过度吸烟等的组织缺氧原因会发生唇列口、腭裂。
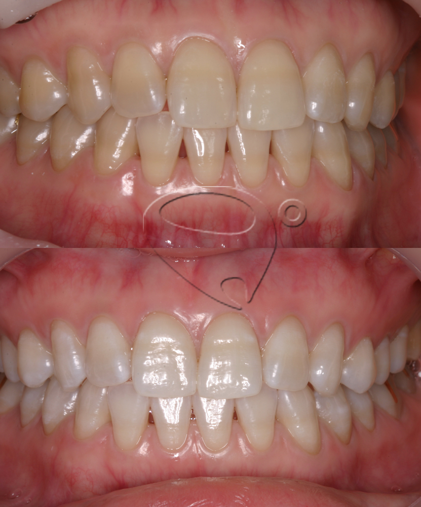
如果胎儿牙齿发育中服用四环素的包括抗生素的话可以这样先天的着色。
这位患者通过五六次的美白解决着色问题。各个患者都有差异所以有些人不能解决以美白。
这样怀孕中产母腭健康和营养摄取、用药等对胎儿有影响怀孕中需要用药的话必须跟大夫商量!别忘记!
怀孕中为了齿疼受苦怀孕妇、预备妈妈!别坚持来PARK AVENUE口康医院!


