别害怕根管治疗!睡眠无痛根管治疗专门口康医院!
很多患者说根管治疗很疼而且害怕,这么恐怖的根管治疗怎么无痛的接受治疗呢?
无痛根管治疗跟Park Avenue牙科的睡眠牙科治疗一起就可以的!
根管治疗不再恐怖的对象。
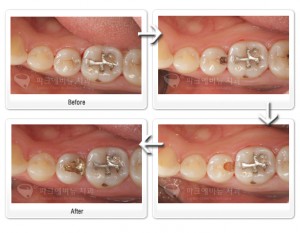
<虫牙的进行阶段-根管治疗进行阶段>
1. 虫牙治疗1阶段 →虫牙在牙齿的外层,再说琺瑯質局限虫牙叫初期虫牙。本阶段虫牙不深比较小的部位所以清理虫牙以后可以简单的树脂治疗,可以当天治疗结束。
2. 虫牙治疗2阶段→虫牙在牙齿的里面象牙质已经进行的状态一般叫中期虫牙。这阶段虫牙的进行度比较深虫牙的部位也大。虫牙清理以后可以预想使用金或者树脂牙齿镶嵌治疗或者齿冠治疗。首先,清理虫牙后跟着虫牙数量镶嵌治疗或者齿冠治疗可以决定。
3. 虫牙治疗3阶段→虫牙严重进行有痛症和不舒服的阶段清理虫牙后需要完全覆盖牙齿的齿冠治疗,跟着虫牙的深度会需要根管治疗。
⏰诊疗时间⏰
平日 上午09:30-下午18:30
周六 上午09:30-下午16:00
周日,国家节假日休
午餐时间 下午13:00-14:00
–
–
🏙地址
Petra栋 2,3楼65 9 驿三洞,江南区,大韩民国 135-080
–
📞联系方式
电话 (02)566-6628
正畸科 (02)564-2885
QQ 2787131397
微信 Parkavedc
Related Posts
- 60上次我拍了从二号线驿三站来院的方式。 这次拍了从九号线彦州来源方式。 请看看视频! - 9号线彦州站6号出口2分钟 2号线驿三站7号出口10分钟 - - - ⏰诊疗时间⏰ 平日 上午09:30-下午18:30 周六 上午09:30-下午16:00 周日,国家节假日休 午餐时间 下午13:00-14:00 - - 🏙地址 Petra栋 2,3楼65 9 驿三洞,江南区,大韩民国 135-080 - - 📞联系方式 电话 (02)566-6628 正畸科 (02)564-2885 QQ 2787131397 微信 Parkavedc
- 55#牙龈剥皮术 - 牙龈上皮肤表层黑色素多看起来牙龈黑色还是表面粗糙的话实行牙龈剥皮术。 皮肤的话清除黑痣还是点一样。比如牙龈颜色嘿嘿、灰暗的话牙齿整齐或者白白的时候也没有干净的感觉。牙龈剥皮术是恢复粉色的牙龈可以找到美丽的微笑! - - - ⏰诊疗时间⏰ 平日 上午09:30-下午18:30 周六 上午09:30-下午16:00 周日,国家节假日休 午餐时间 下午13:00-14:00 - - 🏙地址 Petra栋 2,3楼65 9 驿三洞,江南区,大韩民国 135-080 📞联系方式 电话 (02)566-6628 正畸科 (02)564-2885 QQ 2787131397 微信 Parkavedc . . #牙科医生 #韩国牙科 #牙齿美白 #牙齿矫正 #牙齿美容 #牙齿不整齐 #치아미백#parkavenue #parkavenuedentalclinic #parkavenuedental#parkavenuedental_seoul #parkavenue牙科 #牙龈整形 #牙龈剥皮 #牙龈着色 #잇몸박피술
- 55通知给大家五月份儿的待诊和休诊计划。 五月是家庭之月而且有劳动节所以比平时休诊日比较多。 请看看五月份儿的计划!预约前请给我联系 :) - - - - - ⏰诊疗时间⏰ 平日 上午09:30-下午18:30 周六 上午09:30-下午16:00 周日,国家节假日休 午餐时间 下午13:00-14:00 - - 🏙地址 Petra栋 2,3楼65 9 驿三洞,江南区,大韩民国 135-080 - - - 📞联系方式 电话 (02)566-6628 正畸科 (02)564-2885 QQ 2787131397 微信 Parkavedc - #牙科医生 #韩国牙科 #牙齿矫正 #牙齿美容 #牙齿楔状缺损预防法 #牙齿酸疼 #牙齿破了 #牙齿损害 #牙颈部 #牙龈 #牙龈部 #牙龈不牙齿
- 54说实话 #种植牙手术# 是比较 #高难度# #手术# 这么重要的手术别那么容易 #选择# 我们有 #种植牙保证制度# - - ⏰诊疗时间⏰ 平日 上午09:30-下午18:30 周六 上午09:30-下午16:00 周日,国家节假日休 午餐时间 下午13:00-14:00 - - 🏙地址 Petra栋 2,3楼65 9 驿三洞,江南区,大韩民国 135-080 - - - 📞联系方式 电话 (02)566-6628 正畸科 (02)564-2885 QQ 2787131397 微信 Parkavedc - #牙科医生# #韩国牙科# #牙齿矫正# #牙齿美容# #牙齿不整齐# #implant# #韩国医疗# #韩国医疗观光# #韩国医疗水平# #parkavenuedentalclinic#…
- 53门牙上有蛀牙真不好看!请看看 #门牙治疗前后对比# #龋齿# #虫牙# #蛀牙# #虫牙种类# #蛀牙种类# #牙齿疼# #虫牙治疗# #蛀牙治疗# #蛀牙预防# #虫牙预防# #decayedtooth# #牙疼# #韩国牙科# #韩国口腔医院# A患者 B患者 - - 与ParkAvenue 牙科诊所一起,恢复您一直希望的自信微笑! - - - ⏰诊疗时间⏰ 平日 上午09:30-下午18:30 周六 上午09:30-下午16:00 周日,国家节假日休 午餐时间 下午13:00-14:00 - - 🏙地址 Petra栋 2,3楼65 9 驿三洞,江南区,大韩民国 135-080 - - 📞联系方式 电话 (02)566-6628 正畸科 (02)564-2885 QQ 2787131397…



