치아변색 – Zoom2 치아미백으로 해결하세요!
밝고 깨끗한 치아는 누구에게나 호감을 주지만, 누렇고 어두운 치아는 때론 상대방에게 좋지않은 인상을 남길 수 있습니다.
요즘은 취업이나 결혼을 앞두고 더 좋은 인상을 남기기 위해 많은 분들이 치아미백을 하고 계십니다.
특별한 수술없이 깨끗하고 밝은 이미지를 만들 수 있는 치아미백 치료는 누런이를 미백약제와 레이저 특수광선을 통하여 하얗게 만드는 것입니다.
먼저 치아가 누렇게되는 <치아변색 원인> 부터 알아보겠습니다
첫 번째 선천적인 원인으로는
임신기간이나 치아형성 시기에 항생제를 잘 못 복용했을 경우에 나타나게 됩니다.
두 번째 후천적인 원인으로는
음식과 치아의 노화가 있습니다.
음식에는 김치나 카레, 커피, 초콜렛, 와인 등 색소가 진한 음식들이 치아에 착색을 일으킵니다. 이런 음식들은 가급적이면 자제하는 것이 치아변색을 막을 수 있으며, 드시고 난 다음에는 바로 이를 닦는 것이 좋습니다.
또 하나의 원인으로는 치아의 노화가 있으며
치아의 가장 바깥 부분인 법랑질이 있는데 이는 치아에서 가장 단단하고 하얀 부분입니다.
오랜 세월 음식을 저작하다보면 이 법랑질 층이 닳아 그 안쪽 상아질이 비춰보이거나 노출되게 되는데
치아의 조직은 안쪽으로 들어 갈수록 어둡기 때문에 나이가 들수록 치아가 노랗게 보이는 이유입니다.
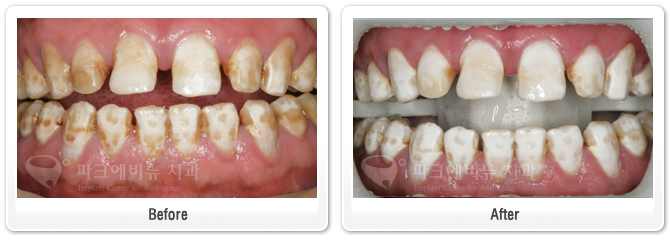
이렇게 변색된 치아를 하얗게 되돌리는 것이 치아미백 입니다.
치아미백의 방법에는 치과에서 하는 전문가 치아미백과 집에서 할 수 있는 자가 치아미백이 있으며
먼저 전문가 치아미백에 대해서 알아보겠습니다.
전문가 치아미백 방법중 하나인 Zoom2(줌2) 치아미백은
식약청의 허가를 받은 미백약제로 안정성과 효과가 입증되었습니다.
하루만에 미백이 완성된다고 해서 “ 원데이 치아미백 ” 이라고도 합니다.
기존 여러번 내원해야 했던 미백치료와는 다르게 줌 미백은 하루에 완성이 되는 치아미백 치료입니다.
하루 1시간 30분만 투자하시면 잃었던 미소를 되찾을 수 있습니다.

