【PARK_AVENUE牙科】齿颈部磨损症树脂治疗案列

IMG_0267

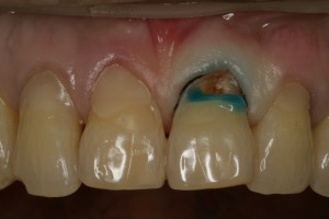
左边上面的中切齿凹进去内院的患者临床照片。

可以看到牙齿和牙龈之间的部分就牙颈部有很多损伤。这就是叫牙颈部磨损症。

为了过度的咬力和错误的刷牙方法等的原因产生牙龈部磨损症。

这样损伤的牙齿继续放弃的话根管也出露不得已需要根管治疗。

根据情况,为了咬力牙齿会断了。

IMG_0269-300x200

我们决定开始治疗。治疗的临床照片。

为了完美的治疗使用牙齿树脂材料所以可以看到牙龈之间放弄下黑线。

照片上看到的蓝色物质是补差树脂前做的阶段。

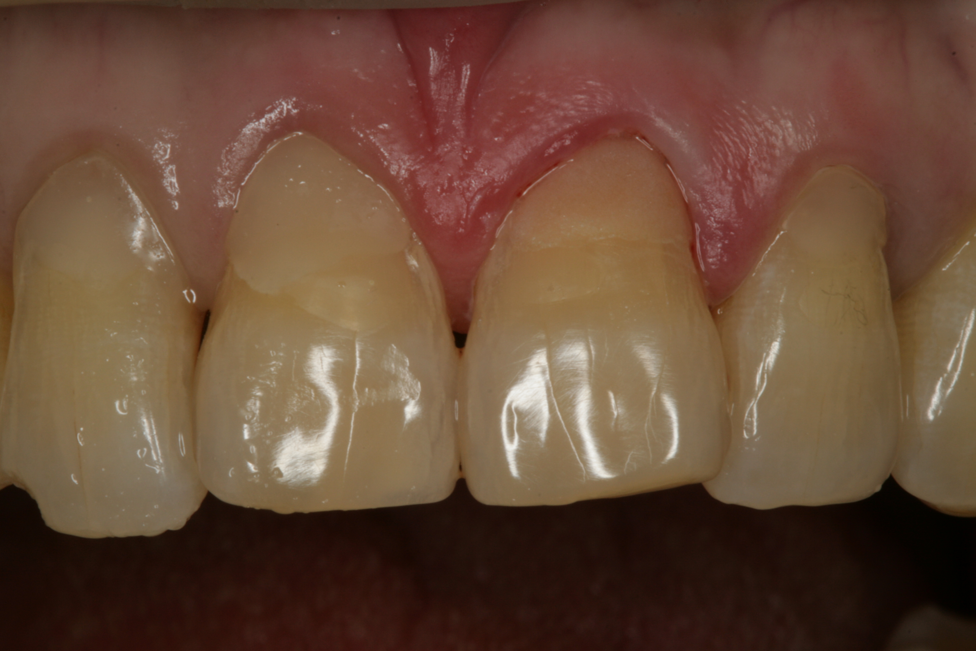
IMG_0270

治疗结束以后的照片。本来的牙齿和别的颜色调和的树脂治疗。

 

 

 

답글 남기기

이메일 주소는 공개되지 않습니다. 필수 필드는 *로 표시됩니다