기분 좋아지는 아름다운 미소 ^^
누구나 아름다운 미소를 가지고 싶고, 보고 싶어 합니다.
하지만 미소에 자신 있는 사람이 얼마나 될까요?
앞니가 누렇거나 삐뚤다면, 듬성듬성 공간이 있다면 과연 활짝 웃을 수 있을까요?
아마도 대부분은 손으로 입을 가리고 웃거나 크게 웃지 못 할 것입니다.
참으로 안타까운 일이지만 세상을 살아가다 보면 보여 지는 인상으로 평가받을 때가 많이 있습니다. 면접을 볼 때, 새로운 사람들을 만날
때 등 첫인상이 굉장히 중요한 자리들이 있습니다. 물론 첫인상으로 사람을 평가해서는 안되지만,
좀 더 나은 인상을 가지고 더 나은 삶을 살 수 있다면 좋지 않을까요…
좋은 인상을 결정하는 것 중 하나가 바로 치아입니다.
하얗고 깨끗한 이! 가지런한 이! 이러한 치아는 나에게는 미소의 당당함을
상대방에게는 기분 좋은 미소를 선물합니다.
하지만 이러한 치아를 가지지 못했다고 해서 우울해 할 필요는 없습니다.
바로 “치아성형”이라는 것이 있기 때문입니다!
치아성형이란?
말 그대로 치아를 성형한다는 의미입니다.
우리가 얼굴을 성형하듯이 치아도 마찬가지입니다. 더 예쁘고 가지런한 이를 만들기 위해서 치아를 삭제하고 다듬어 본을 채득하고 제작
되어진 치아보철물을 치아위에 붙이는 진료입니다.
치아성형에는 라미네이트, 올세라믹 크라운이 있으며, 치아 상태에 따라서 결정하게 됩니다.
먼저 라미네이트에 대해서 알아보겠습니다.
라미네이트 치아성형
라미네이트는, 치아의 앞 표면만을 최소한으로 삭제하여 본을 뜨고,
치아형태의 얇은 세라믹으로 제작되어진 라미네이트를 삭제한 치아의 앞면에 붙이는 치아성형 치료입니다.
아래사진은 치아 사이 많은 공간으로 인하여 라미네이트를 한 케이스입니다.
웃는 모습에서 확실한 차이가 느껴지시죠? ^^
다음은 올세라믹 크라운에 대해서 알아보겠습니다.
올세라믹 크라운 치아성형
올세라믹 크라운은 치아의 전체를 삭제하여 본을뜨고 제작되어진 올세라믹 크라운을 치아에 붙이는 치아성형 진료입니다.
치아를 전체적으로 삭제하기 때문에 라미네이트에 비해 더 폭넓은 치아성형의 케이스에 적용할 수 있습니다. 치아가 많이 삐뚤거나,
심하지 않은 부정교합이 있거나, 변색이 심한 치아등 거의 모든 치아에 적용 할 수 있다고 보시면 됩니다.
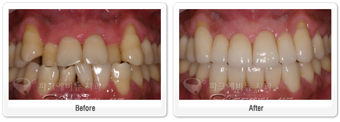
» 앞니사이 공간과 변색 등으로 인한 올세라믹 크라운 치아성형

» 선천적 치아변색과 부정교합으로 인한 올세라믹 크라운 치아성형

몇가지 사례들을 보셨는데요 치아하나로 인생이 달라 질만 하죠? ^^
이러한 치아성형 보철치료는 거의 모든 치아에 시행할 수 있지만, 부정교합이 심할 경우에는 교정치료가 함께 병행이 되어야 합니다.
저희 파크에비뉴 치과에는 실력최고의 보철전문 원장님과 교정전문 원장님이 계십니다.
저렴하다고 아무치과나 찾아갔다가 후회하시는 분들을 여럿봤기 때문에
비용뿐만이 아니라 진료해 주시는 원장님의 실력또한 꼼꼼하게 따져서 치과를 선택하셔야 후회가 없습니다.
파크에비뉴 치과는 박동원 원장님의 정확한 진단과, 실장님의 친절하고 자세한 설명으로 내원하시는 환자분들이 충분히 만족할 만한
결과가 나올 수 있도록 최선을 다하고 있습니다.




