임신! 하늘이 주신 축복과도 같은 일입니다.
가족 중 누군가 임신을 하게 되면 그 집 안은 온통 축제 분위기죠 ^ ^
인간이 할 수 있는 일 중 가장 위대하다고 할 수 있는 임신과 출산!
오늘은 치과치료가 필요한 임산부 환자 분들을 위한 팁을 알려 드리려고 합니다!
Q. 임신 8주 임산부인데 치아가 너무 아파요! 치과 치료 받아도 될까요?
A. 임신은 0~3개월 기간 동안 급속도로 아기가 성장하는 기간이기 때문에 주의가 필요한 기간입니다. 하지만 엄마의 스트레스가 아기에게도 전달 된다는 거 아시죠?
치과에 오셔서 임신 하신지 8주 되셨다고 말씀 하신다면, 치과 원장님이 무리 없이 진료를 받으실 수 있도록 도와주실거예요^^
보통 임산부 치과치료는 임신 안정기에 많이 받으시는데 임신 4~6개월 정도 까지 랍니다! 불안하시다면 다니시는 산부인과 선생님과 상담 후에 찾으시는 것이 좋을 것 같습니다^^
임산부 치과치료에 관한 치과 상식
임신기간에는 호르몬 변화로 인해 구강 환경에 변화가 많이 생겨요! 임신 중에는 침도 산성이 강해져서 충치가 생기기 쉽고, 치주병에도 걸리기 쉽다고 합니다. 또한 입덧으로 인해서 이를 닦는 것이 힘들어 질 수 있어서 위생이 불량 해 질 수 있습니다. 배가 점점 불러오면서 식사량은 줄어들고 횟수가 늘어나게 되지만 이를 닦는 횟수는 그만큼 늘어나지 않기 때문에 치아가 상하기도 합니다.
임신기간에 입안에 이런 병들이 자주 생길 수 있습니다.
1. 충치 : 호르몬, 체온의 변화, 식사 회수 증가, 입안의 불결 등이 원인입니다.
2. 치주병 : 호르몬 변화, 영양 불균형, 심신 불안정, 입안의 불결 등이 원입니다.
3. 치통 : 건강한 치아의 경우에도 가끔 아플 수도 있습니다.
4. 구내염 : 비타민 부족으로 인해서 입안에 쉽게 생길 수 있습니다.
임산부가 알아야 할 태아 때 발생하는 선천성 구내 질환
대표적인 태아 구내 질환으로 구순파열과 구개파열을 들 수 있어요. 임신 6~12주 사이에 태아의 입 천정과 입술이 형성되며 이때 임산부의 영양결핍,방사선에 노출되는 경우나 스테로이드 주입, 아스피린, 기타 약물 주입, 과다한 흡연 등 으로 인한 저 산소증의 원인으로 인해서 구순 구개파열을 발생 시킬 수 있습니다.

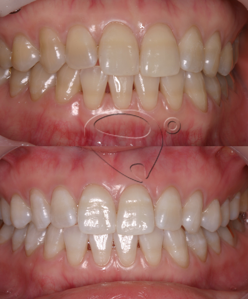
테트라사이클린이 포함된 항생제를 태아의 치아 발육 중 복용하게되면 치아가 위와 같이 선천적으로 착색이 됩니다. 위 환자 분은 5~6번 정도의 미백을 통해서 어느 정도 주소가 해결 되었습니다만 그 테트라 사이클린 착색은 환자 분 마다 정도의 차이가 있어서 미백으로 해결이 되지 않는 경우도 있습니다.
이처럼 임신 중 산모의 건강과 영양 섭취, 투약 등은 태아에게 영향을 미치기 때문에 임신 중 투약이 필요하다면 주치의와 반드시 상의해야 한다는 점! 잊지마세요 ^ ^
임신 중 알아두면 좋은 치과 상식은 여기 까지 입니다! 임신 중이신데 치통으로
고통받는 임산부 예비 어머니들! 꾹꾹 참지 마시고 파크에비뉴 치과에 오세요!
전화 문의 🙂 02) 566-6628



