수면라미네이트, 어떤 시술인가?

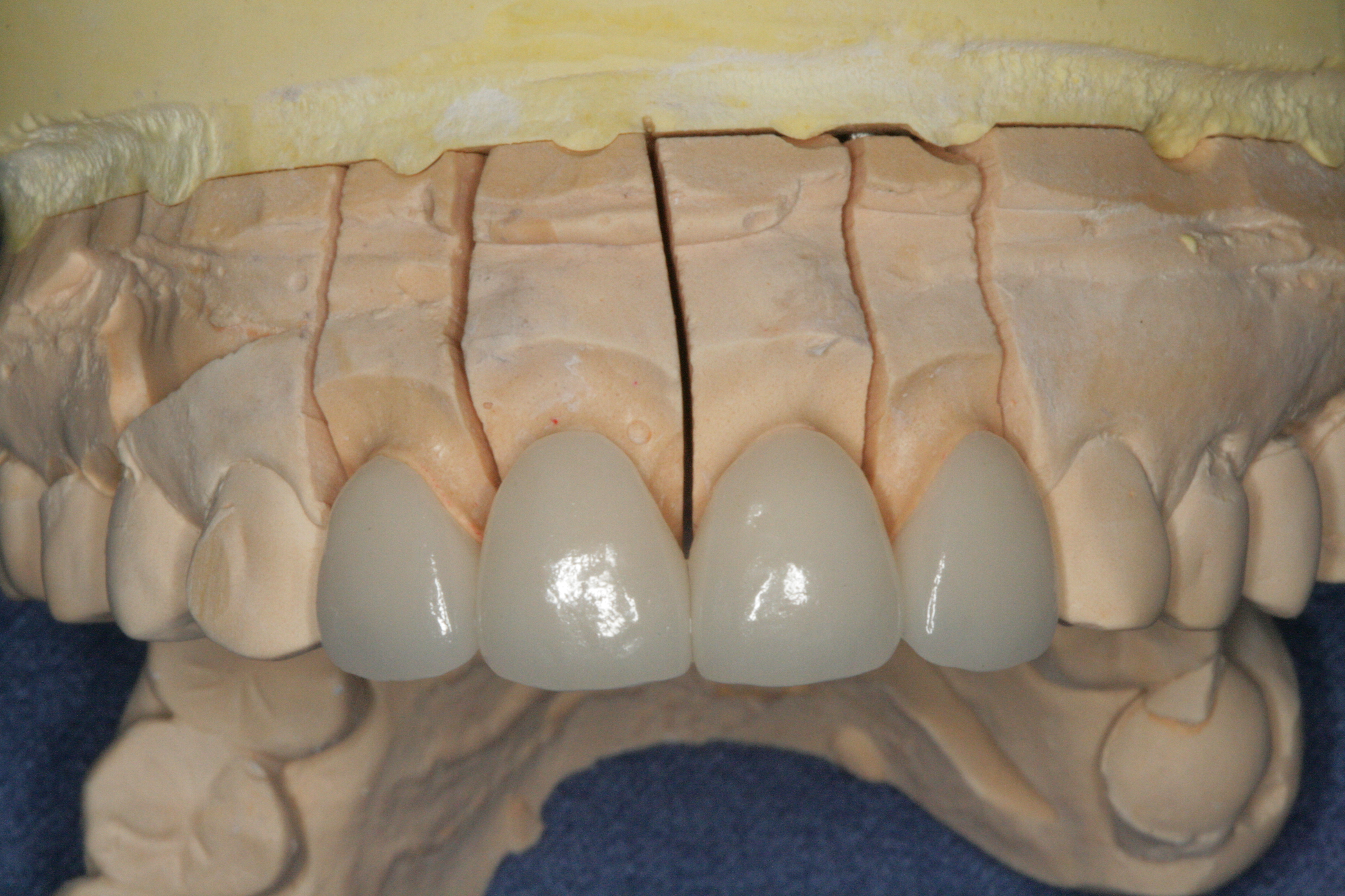
잠자는 동안 시술 가능한 파크에비뉴 치과의 수면 라미네이트는 네일아트 할 때 붙이는 인조 손톱과 흡사하다. 다른 점을 꼽자면 라미네이트는 일정한 치아 두께를 유지 하기 위해서 치아 면 삭제가 필요 하다는 점이다.
잠자는 동안 시술하는 수면라미네이트, 이런 분들께 추천 합니다!
- 삐뚤 빼뚤 한 치아 때문에 웃는 게 자신 없는 분!
- 오래걸리고 불편한 교정 치료 없이 예뻐 지고 싶으신 분!
- 최대한 치아를 적게 삭제하고 싶은 분!
- 미백과 달리 변함없는 하얗고 예쁜 치아를 갖고 싶은 분!
- 오래걸리는 라미네이트 시술이 힘들까봐 걱정 되시는 분!
- 치과를 무서워 하는 분들께 강력추천! 자고 일어나면 임시치아까지 완성!
수면라미네이트 치료의 장점
- 크라운 보다 치아 삭제량이 적다.
- 단 시간(1~2주) 내에 큰 효과를 볼 수 있다. (급속 교정이라고도 불린다.)
- 특별한 경우를 제외하고 신경치료 없이 시술 가능하다.
- 매우 심미적이다.
- 수면 마취 하 진정 요법으로 치과 공포증을 가진 환자 분 들에게 안성 맞춤.
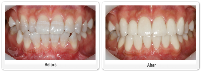
수면라미네이트 치료, 전 후 비교
1. 선천적 착색 & 부정 교합 개선
3. 치아 사이 간격이 넓은 치아
위와 같이 수면라미네이트 치료는 매우 빠른 시간 안에 시술이 가능하고 그 효과가 눈에 띄게 드러나는 심미적으로 뛰어난 치료 결과를 보여 준다. 하지만 교정과 비교 했을 때 치아를 삭제해야 한다는 단점이 있고, 씹을 때 마다 앞니 끼리 부딫히는 절단 교합을 가진 환자의 경우에는 시술 시 탈락 할 수 있는 확률이 높아진다. 따라서 정확한 진단 하에 나에게 맞는 심미보철 치료는 무엇인지 분석 하는 과정이 필요하다.
때문에, 수면 마취 라미네이트 치료는 다 년 간의 경력을 보유한 베테랑 치과 의사에게 시술을 맡기는 것이 좋다. 치과대학 계의 명문 뉴욕대 치대에서 보철과와 임플란트를 복수 전공하신 박동원 원장님은 수면 마취 하에 모든 치과 진료가 가능하며, 10여년의 임상 경력을 보유하고 있다. 안심하고 맡길 수 있는 수면라미네이트 치료, 파크에비뉴 치과와 함께 한다면 후회가 없을 것이다.


