어느 날 갑자기 찾아온 치통으로 인해 밤새 끙끙 앓아 보신 분들이 많으실 꺼예요.
치통이 생겼을 때는 정말이지 아무것도 할 수가 없고 음식을 먹는 다던가
잠을 자려고 할 때도 많이 힘이 드는 경험을 해 보신적 있으실꺼예요.
치통으로 인해 기본적인 일상생활이 지장이 생길 수 밖에 없는데
이때 받는 스트레스 또한 굉장히 불쾌하고 신경쓰이게 만들기도 하죠.
이렇게 치통이 심할 때에는 가장 먼저 치과를 내원을 하시는게 현명한 방법이겠지만
간혹 사정이 여의치 않아 병원을 내원 하지 못 하실 경우 근처 약국에서 진통제를
드시고 통증이 나아지길 기다리시는 분들도 계실꺼예요.
또 통증이 가라앉고 나서 괜찮겠지 하며 그냥 내버려 두시는 분들도 계실꺼예요.
일시적으로 진통제를 통해 통증이 나아질 수는 있지만 치통의 근본적인 원인을
해결 하지 못 한다면 계속적으로 치통의 빈도는 잦아 질 수도 있습니다.
최대한 치과에 내원해 근본적인 원인을 찾아 치료를 받으시기 권해드려요.
치통 증상은 조금씩 다르지만 뜨겁고 찬 음식이나 물,
초콜렛 같은 단 음식을 먹을 때에도 통증이 나타나기도 하며,
아무런 자극을 주지 않아도 욱신욱신 거리며 아픔을 느낄 수도 있습니다.
이런 여러 가지 증상에 따라 원인도 달라지기 때문에 근본적인 치통 원인을 찾아내 치료 할 수 있습니다.
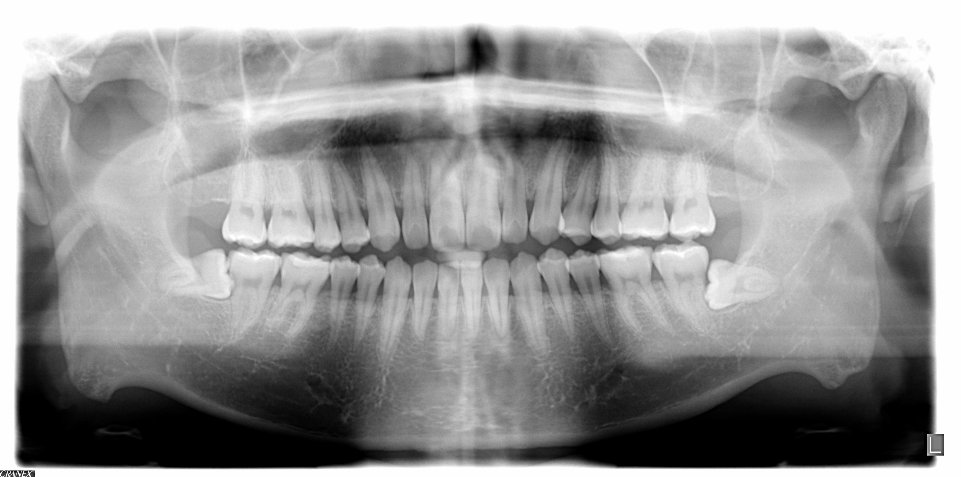
5가지 치통 원인
< 치 아 우 식 >
치아 우식은 구강 내에서 세균들이 음식물 찌꺼기를 먹고 산으로 배출시켜 치아표면을 하얗게 탈회 시키는 것입니다. 정도에 따라 우식의 깊이나 색이 점점 짙어 질 수도 있습니다.
< 치 수 염 >
치수염은 치아 내에 위치한 신경과 혈관 부위인 치수조직에 염증이 생긴 경우 발생합니다.
치수염의 초기 증상은 찬 음식을 먹거나 닿을 때 통증을 느끼는 정도지만,
치수염이 조금 더 진행된 상태라면 뜨거운 음식에도 통증을 느낍니다.
치수염이 심해져 염증이 생기게 되어 그 염증으로 인해 치수 조직이 죽게 되면
찬 것, 뜨거운 것에는 더 이상 통증을 느끼지 못 합니다.
더불어 치아의 뿌리 끝(치근단) 의 염증에 의한 통증은 느낄 수 있습니다.
< 치 아 마 모 증 >
치아의 목 부위가 마모가 된 상태를 마모증 이라고 합니다.
또한 치아의 씹는 면이 마모가 된 상태를 교모증이라고 합니다.
이렇게 치아가 마모된 경우엔 치아의 신경이 자극되어 찬거 뜨거운 음식에
통증을 느끼실 수 있습니다.
이때 찬 음식으로 인해 신경이 자극되면 치통이 생길 수 있습니다.
< 매 복 치 >
정상적인 시기에 잇몸 밖으로 나와야 할 치아가 잇몸 속에 그대로 남아 있는 것이며
잇몸 속에 있기 때문에 특별히 문제가 되지는 않으나 주변으로 염증이 생긴다 거나
통증이 느껴질 시에는 발치를 하여야 합니다.
< 치 아 손 상 >
딱딱한 음식을 씹을 때, 외부의 충격을 받았을 때, 뜨겁거나 찬 음식을 먹다가
치아가 갈라지거나 깨지는 경우를 말 합니다.
이런 손상으로 인해 신경이 자극을 받으면 통증이 생깁니다.
가장 먼저 양치질을 한다.
양치시 치실을 이용하여 사이사이 끼어있는 치태와 찌꺼기들을 제거 한다.
또는 치통이 너무 심할 경우 찬물로 가글을 하시거나 얼음을 물고 계시는
것도 하나의 방법이 될 수 있습니다.
치통이 있는 경우에는 술 이나 담배는 삼가 해야 합니다.
목욕이나 사우나 역시 치통을 더 심해 질 수 있기 때문에 피해야 합니다.


