깨끗한 잇몸, 잇몸 미인을 위한 해결책 : 레이저 잇몸미백
누런 치아를 하얗게 만들기 위해서 치아미백을 하듯이 잇몸미백을 통하여 검고 탁한 잇몸을 핑크빛 잇몸으로 만들 수 있습니다.
잇몸색이 검을 경우 밝고 깨끗한 이미지를 주기 어렵기 때문에 고민하시는 분들이 계시는데요, 이 원인은 과도한 멜라닌 색소의 침착과 흡연으로, 레이저를 이용하여 간단히 해결할 수 있습니다.
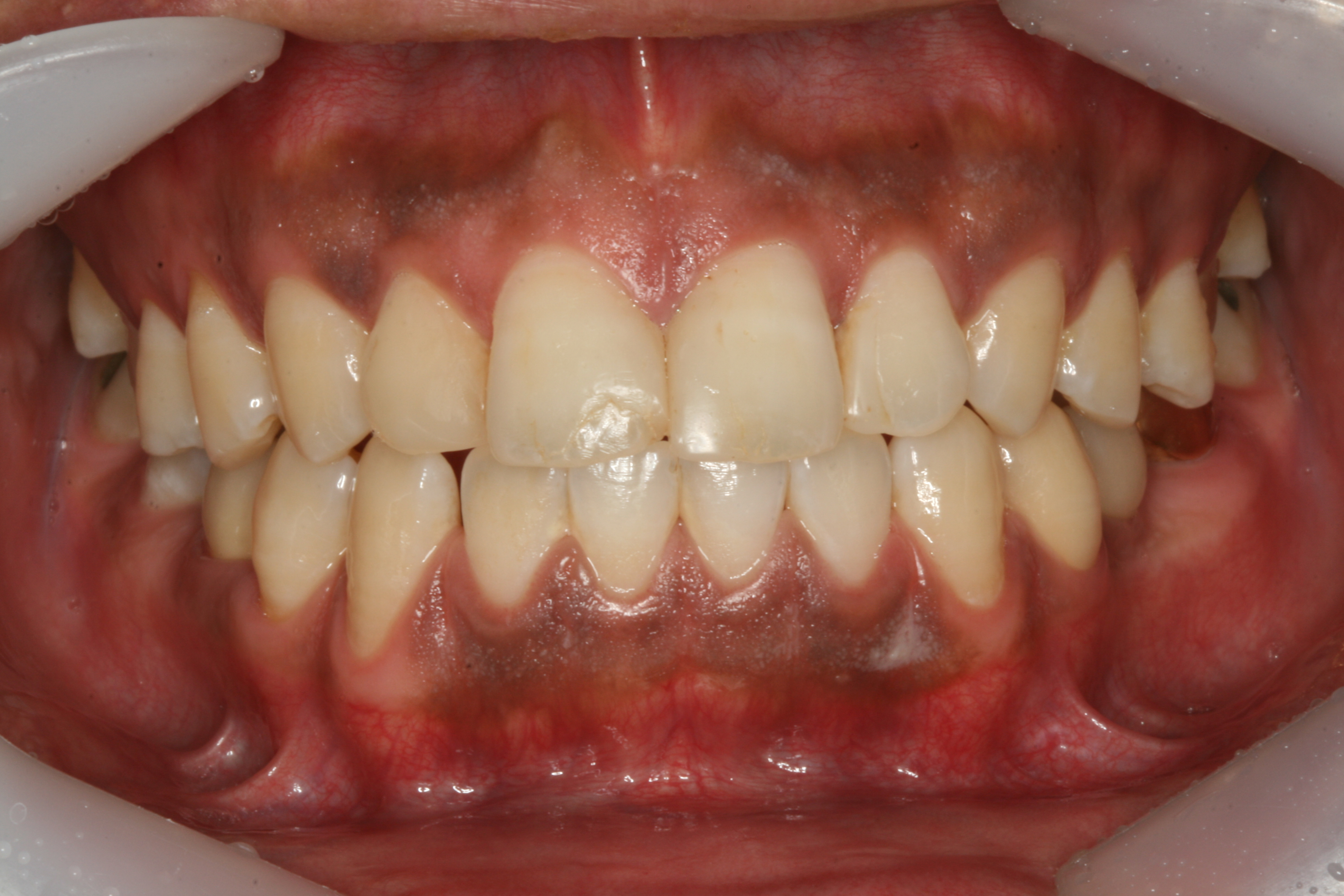
아래 사진은 과도한 멜라닌 색소의 침착으로 검은 잇몸을 보실 수 있습니다
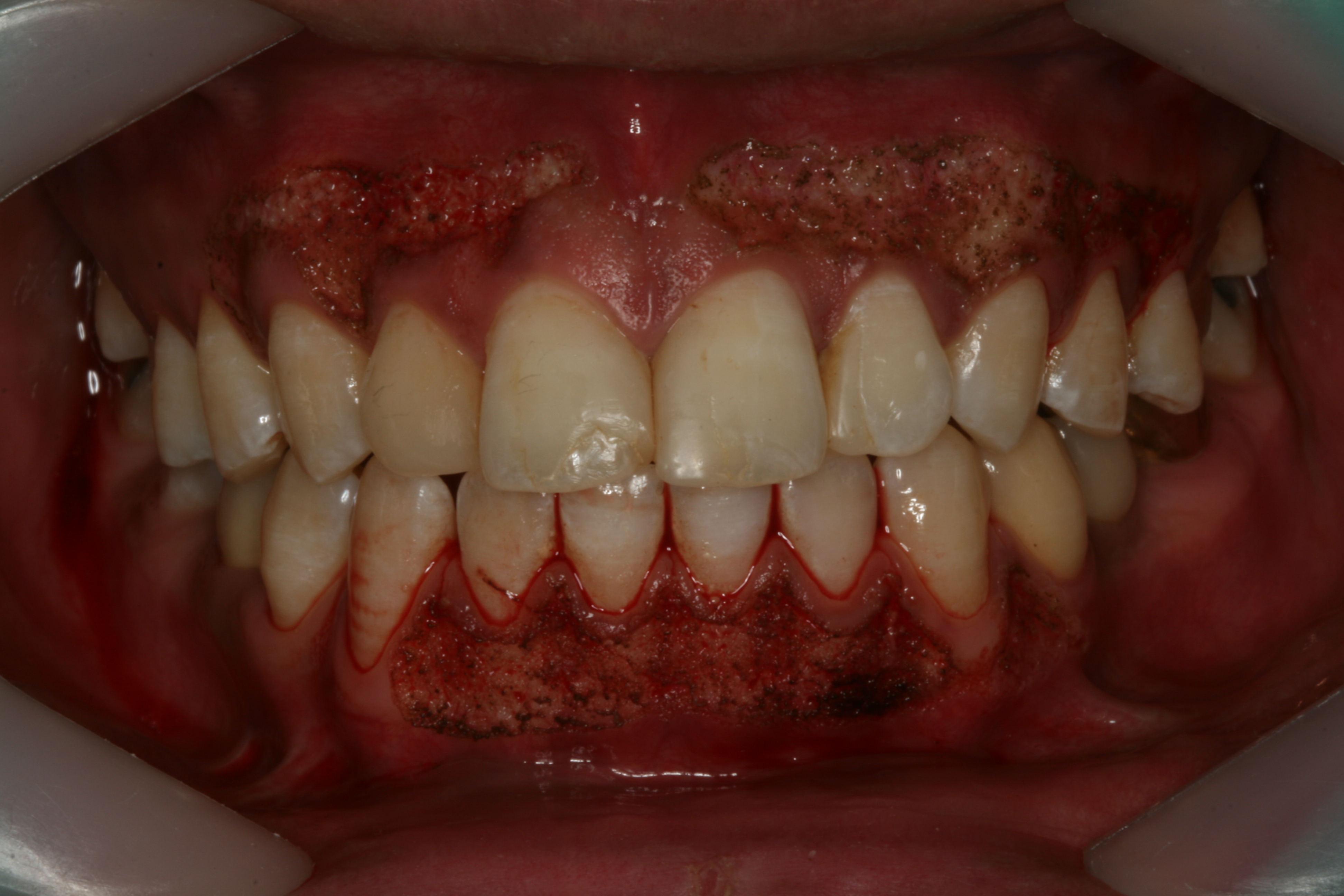
레이저로 멜라닌 색소를 제거한 직후의 모습입니다
레이저 잇몸미백은 국소마취 후 시행하며 색소침착 범위에 따라서 30분에서 1시간 정도 소요됩니다.
대부분은 1번의 시술로 선홍빛 잇몸을 회복하지만, 색소침착의 정도에 따라서 2~3회 정도의 시술이 더 필요한 경우도 있습니다.
잇몸미백은 레이저 시술로 출혈이 거의 없기 때문에 일상생활 하는데 지장이 없습니다.
< 레이저 잇몸미백 전. 후 >
잇몸미백 후 주의사항
– 빠른 회복을 위해서는 자극적이고 뜨거운 음식은 피해주시고, 금주 해주세요!
– 흡연을 하실 경우 잇몸 색이 다시 어두워 질 수 있기 때문에 가능한 금연해주세요!
< 잇몸미백, 잇몸박피 >
파크에비뉴 치과 ” 레이저 잇몸미백”으로 아름다운 미소를 되찾으세요!




