충치신경치료 치과에 대한 공포감, 수면 마취, 수면신경치료로 해결!
파크에비뉴치과는 치과에 대한 공포감을 가지고 있는 환자를 위해 수면 마취 시스템을 도입하여 시술하고 있다. 사람들 중 일부는 치과치료를 망설이다가 치아가 손실 되거나 더 상황이 악화된 상태로 치료를 받기 위해 치과를 찾는다. 치과공포증처럼 치료를 꺼리는 환자에 알맞은 맞춤형 수면치료를 통해 일반치과 치료뿐만 아니라 임플란트, 치아성형, 사랑니발치 등 다양한 치과치료를 받을 수 있다.
충치신경치료 란?
치아 내부의 신경 및 혈관, 기타 세포 조직을 제거한 뒤 그 공간에 다른 재료를 밀봉해 치아의 기능을 유지하는 시술. 가능하면 치아를 빼지 않고 치아 내부의 연조직인 치수만 제거 해 통증, 기타증상을 없애고, 치아가 제자리에서 기능을 할 수 있도록 보존하는 방법. 주로 치근부분의 치수조직을 제거하고 대체 재료를 넣을 수 있도록 치근관의 모양을 다듬고 막는 과정에 관심을 가지기 때문에 근관 치료라고도 한다.
충치신경치료 아프지 않아도 해야 할까?
» 1단계: 충치의 발생 정도는 미세함
» 2단계: 치아의 법랑질 부분을 지나 상아질까지 충치가 침투함
» 3단계: 2단계에서 방치된 충치가 상아질을 지나 신경까지 침투
» 4단계: 3단계에서 방치된 충치가 신경조직 전체에 염증을 유발하고 치아 뿌리까지 염증이 발생한 단계
여기서 보통 사람들은 3단계에서 증상을 인지하고 치과를 가게 된다. 그러나 이 단계가 지나고 4단계에 이르러 더 이상 치아에 아무런 통증을 느끼지 못하면, 그대로 방치하게 되는 것이다. 이런 경우 충치는 끝 없이 뿌리를 향해 파고들어 치아를 발치 해야 하는 일이 부지기수다. 충치신경치료는 발치 전 마지막으로 치아에 할 수 있는 보존적인 치료라고 할 수 있다. 이런 신경에 문제가 생긴 치아가 제 기능을 할 수 있도록 지키기 위해서는 신경 치료를 하여 뿌리 끝 염증과 염증에 이환 되어있는 치수를 제거하고 치아를 단단하게 씌워주어야 한다.
이러한 충치 신경치료의 경우, 신경을 건드려 치료를 하기 때문에 아프지는 않을까 염려하는 분들이 많은데 충치신경치료도 수면마취 즉, 수면신경치료로 충치신경치료를 받을 수 있습니다.
수면마취, 수면신경치료의 장점
- 편안한 진료 환경. 공포감 없는 편안한 마음으로 진료를 받을 수 있다.
- 충치신경치료 공포로 인한 움직임이 적다. 수면 마취, 수면신경치료는 잠든 상태와 흡사하기 때문에 뒤척임이 있을 수 있지만 충치신경치료 공포로 인한 움직임과는 차이가 크다. 치과치료 공포로 인한 심한 움직임은 진료의 질을 현저히 떨어트릴 수 있다!
- 충치신경치료는 작은 치아 안에 존재하는 신경관을 찾아 치료해야 하는 세심한 진료로 다른 치료에 비해 시간이 더 걸린다. 따라서 수면신경치료는 오랜 시간 진료로 인한 환자의 피로도를 낮춰 줄 수 있다.
충치신경치료 과정
- 마취 및 러버댐 설치
당연하게도 구강 내 부분 마취를 실시한 후 러버 댐으로 신경치료를 할 치아만 노출되게 감싸준다. - 치수 강 접근 및 발수 – Pulp chamber access
마취가 완료된 후 신경과 혈관등이 들어있는 치수 강 (pulp chamber)로 접근하도록 교합 면에 작은 구멍을 만든다. - 근관장측정 – Apex working length determination
이제 근관 속을 청소해야 하는데, 그 전에 뿌리의 길이를 먼저 측정해야 한다. - 근관 형성 및 근관 확대 – Canal shaping and cleaning
염증과 감염이 동반된 치수를 근관에서 제거하고 최대한 멸균하는 과정이다. 신경관의 상태에 따라서 4번 과정을 여러번 반복 할 수 있다. - 근관 충전 – Obturation
이제 깔끔해진 근관을 충전 할 시간. 근관을 그냥 비어있는 채로 두면 역시나 세균의 증식이 있을 수 있기 때문에 근관 충전 또한 매우 중요한 과정이다. - 보철
신경치료 이후 크라운 부분의 보철/수복이 매우 중요한데, 어떤 보철이 필요한지는 치아의 상태에 따라 다르다. 아말감/레진으로 때우는 경우도 간혹 있는데 이러한 수복재료 주위의 틈사이로 세균들이 다시 치아 속으로 들어갈수 있기 때문에 최선의 선택은 아니다. 가장 추천되어지는 방법은 금 또는 치아 색 크라운으로 씌우는 방법이다.
* 충치신경치료를 여러 번 해도 낫지 않는 뿌리 끝 염증! 어떻게 할까?
치근단절제술
치수에 염증이 있거나, 세균에 감염이 되어 치아 뿌리 끝에 염증이 생긴 경우 근관 치료를 시행 한 후 치아 뿌리 끝 주변의 조직들은 치료가 되지 않는 경우가 많다. 이럴 경우, 치아 뿌리 끝에 있는 치조골 주변의 염증 조직을 치아 뿌리 끝 부분을 잘라내게 되는 수술이다. 이 수술을 받는다면, 치아를 뽑지 않고 보존을 시킬 수 있다는 장점이 있다. 근관 치료는 치수에 염증이 있거나 세균에 감염이 되었을 때 손상된 치수를 제거하는 방법이다. 이 수술 후 제거된 치아 뿌리 끝 중심부에 구멍을 낸 후 충전물을 채워 완전히 막는다. 염증 부위가 넓을 경우에는 뼈가 잘 형성이 되도록 약을 넣어주기도 하고, 수술한 부위를 봉합하고 수개월이 지나게 된다면 치아 뿌리 주변에 뼈가 차게 된다. 때로는 염증 부위가 커서 골 소실 양이 많은 경우 뼈 이식을 통해 보강을 할 수도 있다.
충치신경치료 후 주의해야 할 것
- 마취는 2시간 이상 지속되오니 가급적 식사는 마취가 풀린 후 해야 한다.
- 신경치료는 첫날은 갑자기 통증이 심해질 수 있다. 통증이 심한 경우 진통제를 복용 하시고 통증이 완화되지 않는 경우 내원하도록 한다.
- 임시 충전재가 탈락할 수 있으니 너무 딱딱하거나 끈적이는 음식물은 당분간 삼가 해야 하며 탈락 시에는 병원으로 전화 주시고 바로 내원하여 치료를 받아야 한다.
- 신경치료 중 경미한 동통은 있을 수 있고 간혹 처음 치료 시는 괜찮다가 중간에 갑작스런 통증이 있을 수 있으니 진통제를 복용 할 수 있다.
- 신경치료 받는 동안 통증이나 파절의 위험이 있을 수 있기 때문에 치료 받는 치아로 단단한 것을 물거나 씹어서는 안된다.
- 신경치료는 치아 내 혈관, 신경 등이 제거되어 영양분을 공급 받기 못해 약해져 있으니 치료가 끝나면 이를 반드시 씌워서 보호해야 한다
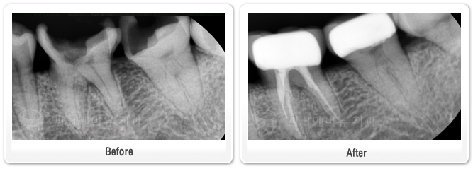
파크에비뉴치과 충치 수면마취, 수면신경치료 전 후 비교

#21,22,23- 첫 내원 했을 당시, 왼쪽 위 대문이 옆 치아 뿌리 끝에 염증이 생겼던 것이 점점 옆으로 퍼지면서 큰 낭종을 형성하고 있었다. 수 차례에 걸쳐서 신경치료를 시행 한 결과 염증이 제거 되면서 자연적으로 낭종이 있던 부위에 치조골이 차오르며 상태가 호전되어 신경치료를 마무리 할 수 있었다.

#36,37- 왼쪽 아래 첫 번 째 큰 어금니는 충치 균이 신경까지 침투하여 수면신경치료를 시행하였고 두 번 째 큰 어금니는 다행히 신경이 손상 되지 않아 치아를 보강한 뒤 크라운으로 씌워주었다.
수면신경치료, 수면마취! 이런 환자에게 필요하다.
- 충치신경치료 및 치과 공포증을 가진 환자.
- 수술에 대한 두려움 때문에 치료를 망설이는 환자.
- 수술시간을 감당하기 어려운 고령의 환자.
- 치과치료 시 구역질이 심한 환자.
- 마취가 잘 안되어 고생하는 환자.
- 특수한 경우를 제외하고는 누구나 가능.
수면마취 신경치료 파크에비뉴 치과에서 편안한 진료 받으세요 : )
충치신경치료, 수면마취, 수면신경치료에 대한 자세한 문의는?
Tel) 02-566-6628



