안아픈 매복 사랑니 발치!!
사랑니 발치, 필수인가?
사랑니는 사랑을 알게 될 시기에 나온다고 해서 사랑니라고도 하는데, 지치(wisdom tooth)라고도 불린다. 이렇게 불리는 이유는 지식의 나이라고 불리는 10대 후반기나 20대 초반에 나오기 때문이다.
정상적으로 위치한 사랑니를 모두 발치를 해야 하는 것은 아니고, 문제의 소지가 없는 경우에는 치과 의원에 정기적으로 내원해서 적절한 관리를 받으면 된다. 그렇지만 날 자리가 없는 사랑니는 턱뼈의 공간 부족으로 잇몸 하방에 매복되는데, 이 경우 잇몸이 붓거나 음식물이 앞의 어금니와의 사이에 끼어서 충치가 생기게 될 수도 있고, 턱뼈 안에서 낭종을 만들 수도 있다. 이러한 문제의 예방 또는 해결을 위하여 턱뼈 안에서 사랑니를 제거하는 사랑니 발치를 시행한다. 또 정상적으로 맹출 된 사랑니라 하더라도 입안의 너무 안쪽에 위치하여 칫솔의 접근이 어려워 입 냄새를 유발한다면 발치를 하는 것이 좋다.
사랑니 발치 합병증
- 통증, 출혈, 붓기, 감염
- 사랑니 앞 어금니의 충치로 인한 손상: 사랑니 앞 치아에 충치가 있을 때 사랑니를 빼는 도중 충치 윗 쪽에 약해진 치아가 깨질 수 있다.
- 감각이상: 사랑니 주변으로는 큰 신경 다발이 지나는데 어떤 환자의 경우에는 사랑니가 신경관과 매우 근접하게 위치하는 경우도 있다. 그래서 발치 후에 감각이상을 호소 할 수 있는데 보통 감각이상이 생기는 부위는 사랑니를 뺀 쪽의 턱끝 쪽이나 혀쪽에 감각이 둔해지며, 마취가 풀리지 않는 느낌이 든다. 이러한 경우는 정말 드문 경우이나 충분히 일어날 수 있는 일이라는 것을 숙지해야 한다.
사랑니 발치 순서

사랑니가 바로 난 경우에는 비교적 쉽게 뽑을 수 있지만, 위와 같이 누워서 난 경우에는 수술 발치가 필요하다.
- 잇몸을 절개하여 치아가 있는 곳을 노출 시킨다.
- 치아의 머리부분을 고속 핸드피스를 이용하여 분리한다.
- 머리 부분을 먼저 제거하고 뿌리부분을 뽑는다.
- 소독액으로 소독한다.
- 사랑니 뺀 자리를 봉합한다.
- 지혈을 위해 환자가 거즈를 2시간 동안 물고있도록 한다.
사랑니 발치 후 주의사항
사랑니 발치 치료 후 2일까지 심한 운동을 삼가고 이를 뽑은 자리 부근의 얼굴에 열을 가하지 않는다.
1. 시술 후 지혈을 위하여 거즈는 2시간 정도 피가 멈출 때까지 물고 있고 침은 뱉지 않고 삼킨다.
2. 처방된 약(일반적인 항생제와 진통소염제와 소화제 등)은 지시대로 복용한다.
3. 붓기를 줄이기 위해 냉찜질을 한다. 이를 뽑은 후 24~48시간 내에 얼음을 비닐봉지에 넣고 수건으로 감싼 다음, 얼굴에 10~20분 대고 10~20분 쉬는 방법으로 냉찜질을 시행한다.
4. 이를 뽑은 부위는 구강 세척제를 사용하고 다른 치아 부위는 양치질을 평소대로 한다.
5. 수분 섭취를 많이 하고 부드러운 음식을 먹는다.
6. 충분한 휴식은 빠른 회복에 큰 도움이 된다.
7. 발치 후 출혈이 있을 수 있으므로 일주일 동안은 비행기를 타거나 산에 오르는 것은 삼간다.
8. 흡연이나 빨대를 세게 빠는 등 음압이 생기는 행동을 피한다. 시술 후 출혈의 원인이 될 수 있다.
9. 껌을 씹거나 이 뽑은 자리에 혀를 대거나 거친 음식물로 이 뽑은 자리에 자극을 주지 않는다.
10. 치료 후 3일까지는 심한 운동을 피한다.
11. 약 복용 중에는 금주한다.
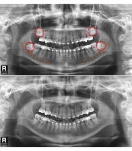
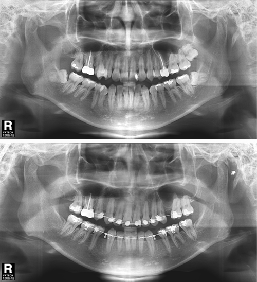
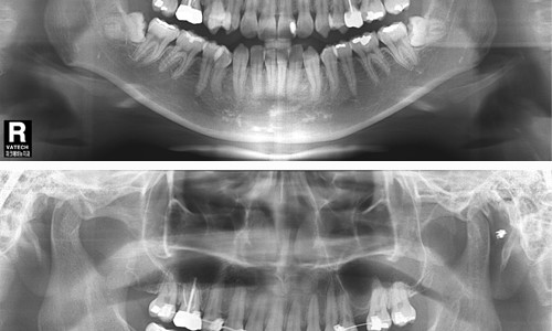
파크에비뉴치과 사랑니 발치 전 후 비교
위 두 환자는 교정치료를 위한 공간확보가 필요하여 사랑니 발치를 하게 되었다. 아래턱에 점선으로 표시 되어있는 하치조신경 다발이 사랑니 뿌리에 근접하여 지나가서 난이도가 높은 수술이었지만 3차원적 영상인 CT와 Panorama X-ray를 정밀 분석하여 발치 한 결과 신경 손상 없이 발치 할 수 있었다. 또한 두 환자 모두 “PRF(자가골성장인자)”를 이용해 사랑니 발치를 하여 부작용을 최소화 하였다.
PRF란?
PRF는 자연상태의 섬유소 망과 유사한 구조를 이루어 창상 부위에서 치유와 관련된 세포의 이동과 세포분화를 촉진시켜 주어 결과적으로 빠른 치유를 가능하게 해 임상적으로 심혈관계수술 일반외과 및 성형외과 또는 구강악안면 수술에 이용되어 왔으며, 최근 임플란트 시 치유를 촉진시켜 상처가 빨리 아물도록 하는 목적으로 활용되기 시작했다.
PRF에는 뼈를 만들어내는 세포들의 활동을 촉진하는 다양한 단백질 성분의 성장인자가 농축되어 있고, 면역인자 등을 포함하고 있기 때문에 외과적 치과 치료 시 PRF를 사용할 경우 잇몸 뼈와 잇몸 재생을 빠르게 도와 시술기간을 단축할 수 있으며, 감염의 가능성을 낮출 수 있다.
PRF의 장점
– 본인 혈액으로 부작용이 없음 – 골조직 재생
– 감염에 저항하는 능력이 우수 – 출혈 응고 작용 우수
– 골편간 결합력 제공 – 초기 골 재생을 촉진
– 연조직을 대체시키고 결손 된 부위의 뼈를 치유
1인 1기구 사용하는 매복 사랑니 발치 전문 파크 에비뉴 치과는 사용하는 모든 치과 기구를 E.O gas로 소독하여 감염관리에 힘쓰고 있습니다. 물론 의사와 환자간의 교차 감염도 100% 예방합니다.
수면 매복 사랑니 발치, 파크에비뉴 치과에서 편안한 진료 받으세요 : )
수면 매복 사랑니 발치 전문 파크에비뉴치과
Tel : 02-566-6628




