요즘 치아성형이란 말을 많이 들어보셔죠? 더 나은 얼굴을 위해서 성형을 하듯이 치아도 마찬가지입니다. 더 밝고 가지런한 치아를 만들기 위해서 치아성형이라는 것을 합니다.
예전에는 치아교정만으로 가지런한 치아를 만들 수 있었지만 요즘에는 치아성형이라는 심미보철로 빠른시간 안에 예쁘고 가지런한 치아를 만들 수 있습니다. 돌출된 앞니, 불규칙한 앞니, 덧니, 앞니사이 공간등을 올세라믹 크라운, 라미네이트 치아성형으로 앞니를 개선할 수 있습니다.
이번 시간에는 올세라믹 크라운 치아성형에 대해서 알아보도록 하겠습니다.
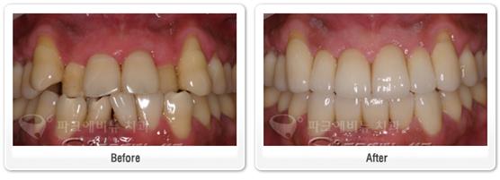
올세라믹 크라운 – 앞니 돌출이 치아성형

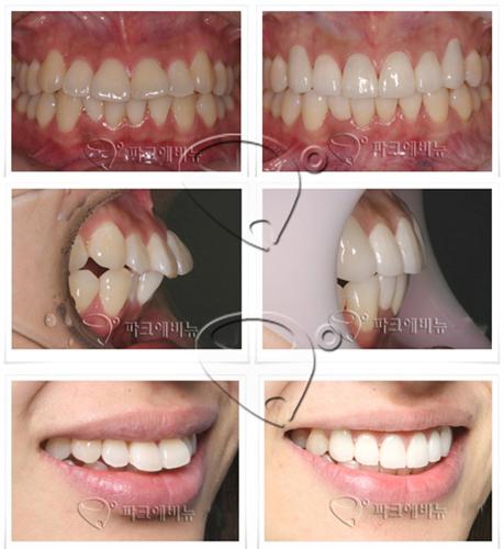
위 환자분은 앞니 두 개가 돌출되어 내원하였습니다. 사진을 보시면 앞니의 공간이 부족하여 앞니 두 개가 앞으로 돌출되어 있는 것을 볼 수 있습니다. 두 개만 할 경우 심미적이지 못한 치아성형이 되기 때문에 위 환자분께서는 총 6개의 치아(송곳니부터 송곳니 까지)를 치료함으로써 보다 심미적인 치아성형의 결과를 얻을 수 있었습니다.

위 사진은, 앞니 돌출 치아성형 전, 후의 전체적인 모습을 보실 수 있습니다. 총 4개의 치아를 성형하였고, 훨씬 부드럽고 여성스러운 인상과 치아 라인을 확인 할 수 있습니다.

총 4개의 치아성형 하였고, 훨씬 부드럽고 여성스러운 인상과 치아 라인을 확인 할 수 있습니다.위 사진은, 앞니 돌출 치아성형 전, 후의 전체적인 모습을 보실 수 있습니다.
장치를 붙이는 치아교정보다 훨씬 빠르게 가지런한 치아를 가질 수 있는 “올세라믹 치아성형의 장점” 으로는 다음과 같습니다.
올세라믹 치아성형의 장점
1. 빠른 시간 안에 가지런한 치아를 가질 수 있다.
2. 불규칙한 치아로 인해 부정확 했던 발음을 정확하게 할 수 있다.
3. 가지런해진 치아로 관리가 쉬워져 충치와 치주질환을 예방할 수 있다.
4. 아름다운 미소로 사회생활과 대인관계에 자신감을 더해준다.
올세라믹 크라운 치아성형의 치료 순서
- 내원당일 첫째 날은 치아모형을 채득합니다.
이는 치아성형 후 어떻게 변화될지를 미리 예측하기 위한 진단모형으로 아래 사진을 보시면 노란색 왁스(wax)를 통하여 시뮬레이션을 하게 됩니다.

- 둘째 날에는 본을 뜨고, 임시치아를 제작하는 과정입니다.
올세라믹 크라운 치료를 위해서는 크라운이 들어갈 공간만큼 치아를 삭제하고 그 형태 그대로 본을 뜨게 됩니다. 본을 뜬 다음에는 올세라믹 크라운이 제작될 동안 사용하게 될 임시치아를 제작합니다. 파크에비뉴 치과에서 만드는 임시치아는 가장 심미적인 재료로 시뮬레이션 모델 그대로임시치아를 제작해 드립니다. 임시치아 만으로도 치아의 모양과 배열이 기존치아보다 더 개선된 것을 볼 수 있습니다.

- 마지막 셋째 날에는 완성된 올세라믹 크라운 붙이는 과정입니다.
총 3번의 내원횟수와 열흘정도의 시간이면 가지런하고 예쁜 치아를 가질 수 있습니다.

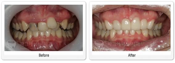
올세라믹 크라운 사례를 더 살펴보겠습니다.
올세라믹 크라운 사례
* 덧니 치아성형

* 심한 불규칙 치아 치아성형

* 돌출이 치아성형

올세라믹 크라운 치아성형은 많은 경험과 미적 감각이 필요한 치료입니다. 심미적으로도 굉장히 중요한 부위이고 그렇다고 해서 기능 또한 전혀 배제할 수 없는 부분이기 때문에 어느 것 하나 소홀히 할 수 없습니다. 이러한 부분들을 다 만족시켜 줄 수 있는 원장님은 많지 않으시지만, 그 중의 한분이 파크에비뉴 치과 박동원 원장님이심을 자부합니다.
무수히 많은 임상 경험과 여자보다 더 나은 미적 감각으로 최고의 진료를 확신합니다. 못생긴 치아로 웃음을 잃어버린 분들은 파크에비뉴 치과 치아성형으로 환한 웃음을 되찾으시길 바랍니다.