앞니돌출, 앞니치아성형 상담사례
질문 : 앞니 두 개가 앞으로 튀어나와 있어서 더 커 보이거든요
웃을 때도 항상 손으로 입을 가리면서 웃게 되고 성인이 되면서 더 신경이 쓰여서
요즘 앞니를 가지런하게 치아성형을 많이 한다고 해서 문의 드립니다.
두 개만 앞니치아성형 하면 되는지 두 개만 하면 너무 티가 나지 않을까 걱정도 되고…
치아성형이라 그러면 가격도 좀 비쌀 거 같은데 얼마인지도 궁금해요.
답변 : 안녕하세요 파크에비뉴 치과입니다.
앞니돌출, 앞니치아성형 문의를 주셨네요
앞니 두 개가 튀어나와 치아성형을 하고 싶은데 몇 개를 해야 하는지와 비용에 대해서 궁금하시군요.
앞니 두 개가 돌출 되었다면 공간이 그만큼 부족하기 때문에 돌출되었을 가능성이 큽니다. 공간이 부족한데 앞니 두 개만 치아성형을 했을 경우 그 부족한 공간에다 치아를 가지런히 넣어야 하기 때문에 치아가 좁고 길어 보일 수 있습니다.
이런 경우 에는 4개 또는 6개의 앞니를 성형함으로써 부족한 앞니 공간을 그 옆쪽으로 적절히 분배함으로써 보다 심미적인 크기의 치아를 제작할 수 있습니다.

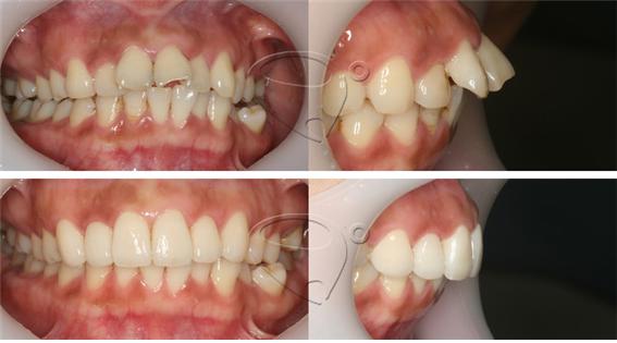
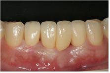
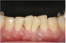
위 환자분도 앞니 두 개가 돌출되어 내원하였습니다. 사진을 보시면 앞니의 공간이 부족하여 앞니 두 개가 앞으로 돌출되어 있는 것을 볼 수 있습니다. 두 개만 할 경우 심미적이지 못한 치아성형이 되기 때문에 위 환자분께서는 총 6개의 치아(송곳니부터 송곳니 까지)를 치료함으로써 보다 심미적인 치아성형의 결과를 얻을 수 있었습니다.

위 사진은, 앞니돌출, 앞니치아성형 전, 후의 전체적인 모습을 보실 수 있습니다. 총 4개의 치아를 성형하였고, 훨씬 부드럽고 여성스러운 인상과 치아 라인을 확인 할 수 있습니다.

장치를 붙이는 치아교정보다 훨씬 빠르게 가지런한 치아를 가질 수 있는 “올세라믹 치아성형의 장점” 으로는 다음과 같습니다.
- 빠른 시간 안에 가지런한 치아를 가질 수 있다.
- 불규칙한 치아로 인해 부정확 했던 발음을 정확하게 할 수 있다.
- 가지런해진 치아로 관리가 쉬워져 충치와 치주질환을 예방할 수 있다.
- 아름다운 미소로 사회생활과 대인관계에 자신감을 더 해준다.
앞니치아성형 순서
1. 내원당일 첫째 날은 치아모형을 채득합니다.
이는 치아성형 후 어떻게 변화될지를 미리 예측하기 위한 진단모형으로 아래 사진을 보시면 노란색 왁스(wax)를 통하여 시뮬레이션을 하게 됩니다.

2. 둘째 날에는 본을 뜨고, 임시치아를 제작하는 과정입니다.
올세라믹 크라운 치료를 위해서는 크라운이 들어갈 공간만큼 치아를 삭제하고 그 형태 그대로 본을 뜨게 됩니다. 본을 뜬 다음에는 임시치아를 제작합니다. 파크에비뉴 치과에서 만드는 임시치아는 가장 심미적인 재료로 시뮬레이션 모델 그대로 임시치아를 제작해 드립니다.

3. 마지막 셋째 날에는 완성된 올세라믹 크라운을 붙이는 과정입니다.
총 3번의 내원횟수와 열흘정도의 시간이면 가지런하고 예쁜 치아를 가질 수 있습니다.

앞니치아성형 비용은 치아성형 재료와(금속 세라믹 크라운, 올세라믹 크라운) 치아의 돌출정도에 따른 신경치료 여부에 따라서 달라집니다.
정확한 비용은 내원 하시면 검진 후 자세히 설명 드리겠습니다. 대략적인 앞니치아성형 비용은 전화 드렸습니다.
다른 문의사항이나 예약은 아래 전화번호로 연락주시면 도와드리겠습니다.
앞니치아성형 상담은 “파크에비뉴 치과” 02.566.6628로 전화주세요!